Mediastinitis necrosante descendente. Experiencia de un centro de referencia durante 16 años
Waldo-Hernández, Luis Iván1; Rueda-Villalpando, José Pablo1; Cruz-López, Marco Antonio1; Vázquez-Minero, Juan Carlos1
Waldo-Hernández, Luis Iván1; Rueda-Villalpando, José Pablo1; Cruz-López, Marco Antonio1; Vázquez-Minero, Juan Carlos1
RESUMEN
PALABRAS CLAVE
mediastinitis, absceso, esternotomía, cervicotomía, toracoscopia.Introducción
La mediastinitis es una infección grave que afecta al tejido conectivo que llena el mediastino y rodea los órganos torácicos medianos,1 es una condición médica severa de origen infeccioso. La mediastinitis necrosante descendente (MND) se refiere a las infecciones mediastínicas que se originan en la región orofaríngea y cervicofacial que se diseminan a través de los planos profundos de la fascias cervicales hacia el mediastino, causando celulitis, necrosis, abscesos y sepsis.2,3 El término MND se refiere a una infección que inicia en la región orofaríngea o cervical que se disemina a través de los planos fasciales en el mediastino y puede o no diseminarse hacia la cavidad pleural.3-6 Su evolución es rápidamente progresiva hacia necrosis tisular, con altos niveles de mortalidad (40%) por sepsis y falla orgánica múltiple sin el tratamiento oportuno y apropiado.4 El tratamiento quirúrgico desempeña una parte esencial en la evolución clínica y pronóstico de dicha enfermedad. El objetivo de este estudio es conocer la morbimortalidad posquirúrgica en el tratamiento por MND, así como los abordajes y etiologías más prevalentes en nuestro medio.
Material y métodos
Es un estudio analítico retrospectivo en un período comprendido de 2006 a 2022 que incluyó a todos los pacientes con diagnóstico de MND tratados quirúrgicamente en el Instituto Nacional de Enfermedades Respiratorias Ismael Cosío Villegas (INER) de la Ciudad de México, registrados en la base de datos de procedimientos quirúrgicos de la subdirección de cirugía. Se revisaron los expedientes clínicos, incluyendo datos epidemiológicos, estudios de imagen y cultivos disponibles. Se incluyeron todos los pacientes que fueron diagnosticados con base en los criterios de Estrera et al.7 Los diagnósticos fueron corroborados mediante tomografía computarizada y fueron evaluados con base en la clasificación de Endo et al.8 Se excluyeron los pacientes que cursaron con mediastinitis por otras causas como las secundarias a perforación esofágica o traqueal secundaria a trauma, mediastinitis posquirúrgica o aquéllos con diagnóstico distinto a MND como absceso superficial o profundo de cuello. Al igual, se excluyeron los pacientes en quienes no fue posible recuperar el expediente físico y/o electrónico completo.
Resultados
Se incluyeron 51 pacientes, 13 mujeres (25.49%) y 38 hombres (74.51%), la media de edad fue de 39.19 ± 14.06 años; 13 pacientes (25.49%) tenían alguna comorbilidad siendo las más prevalentes diabetes mellitus e hipertensión arterial sistémica; 41 pacientes (80.39%) se clasificaron por tomografía como ENDO IIB, nueve (17.64%) ENDO I y uno (1.97%) ENDO IIA. La causa principal de MND fue de origen odontogénico en 28 pacientes (54.9%) seguida de absceso periamigdalino en 22 pacientes (43.13%). La media de días de estancia hospitalaria fue de 22.65 ± 15.61 días. Fueron intervenidos por cervicotomía 12 pacientes (23.52%) y con abordaje combinado 39 pacientes (76.48%) siendo el abordaje de cervicotomía + esternotomía media el más común en 21 pacientes (41.17%), seguido de cervicotomía + toracotomía en 16 pacientes (31.37%). Un total de 22 pacientes (43.13%) requirieron algún tipo de reintervención quirúrgica, siendo la causa más frecuente recambio de terapia de presión negativa en los 11 pacientes (21.56%) en los que fue empleada, con una media de 10.78 ± 10.01 días de terapia de presión negativa. Hubo un total de 14 defunciones (27.45%), la causa más común fue choque séptico. Los patógenos aislados fueron multimicrobianos, los más comunes fueron Klebsiella pneumoniae, estreptococo, E. coli, Serratia marcescens y Candida. Las complicaciones posquirúrgicas se presentaron en nueve pacientes (17.64%), siendo tromboembolia pulmonar en dos pacientes (3.92%), infarto agudo al miocardio, insuficiencia renal aguda, sangrado de tubo digestivo alto, taquicardia supraventricular, osteomielitis esternal y parálisis cordal derecha en un paciente, cada una (1.96%).
Discusión
La MND es un padecimiento que tiene su origen en una infección dentaria u orofaríngea con un curso rápidamente progresivo que puede llevar hasta un cuadro de sepsis y de forma frecuente a la muerte. La causa de MND se distribuye en odontogénico (36-47%), faríngeo o amigdalino (33-45%), cervical (15%) y otras infecciones de cabeza y cuello (5%).1,4 En nuestra serie el origen odontogénico fue el más frecuente con 54.9% de los casos, seguido de absceso periamigdalino.
La flora bacteriana más frecuente es mixta aeróbica y anaeróbica, siendo el estreptococo β-hemolítico el más comúnmente aislado.2 Los cultivos en nuestra serie en la mayoría de los casos fueron negativos; sin embargo, en algunos casos se lograron aislar Klebsiella pneumoniae, estreptococo, E. coli, Serratia marcescens y Candida.
La descripción de las rutas anatómicas de diseminación de la MND fue realizada por Pearse en 1983, fue el primero en identificar a este grupo de pacientes que denominó "secundario a supuración cervical".5 Las rutas de diseminación desde el cuello hasta el mediastino son a través de los espacios pretraqueal, paraesofágico, prevertebral, espacios retrofaríngeos y a lo largo de la vaina carotídea. El principal espacio considerado de "peligro" es el espacio retrofaríngeo que se extiende desde la base del cráneo hasta el mediastino. La naturaleza infecciosa, multimicrobiana de predominio anaerobio, la asociación con otras comorbilidades y la presión negativa intratorácica facilitan la propagación de dicha entidad.9-11
El papel de los estudios de imagen es de vital importancia en el diagnóstico, sin dejar de lado la historia clínica minuciosa y la exploración física. Los principales hallazgos en la radiografía de tórax simple establecen la sospecha de MND junto con los signos y síntomas clínicos de infección severa asociados a la presencia del antecedente de infección cervical, dental u orofaríngea. Dichos hallazgos radiológicos pueden ser: ensanchamiento del mediastino, neumomediastino, niveles hidroaéreos mediastinales, desplazamiento anterior de la columna de aire traqueal por una opacidad prevertebral de los tejidos blandos, agrandamiento de la silueta cardíaca y pérdida de la lordosis normal de la columna cervical así como derrame pleural unilateral o bilateral.9,10,12 De forma inmediata deberá realizarse una tomografía computarizada (TC) cervicotorácica, ya que la TC de tórax y cuello puede revelar información detallada con respecto al alcance del proceso de necrosis, y sugiere, dentro del marco del enfoque de tratamiento quirúrgico, el mejor abordaje para un drenaje efectivo con la finalidad de optimizar el mejor resultado posquirúrgico para el paciente y con ello la necesidad de menos reintervenciones.9,10,13-17
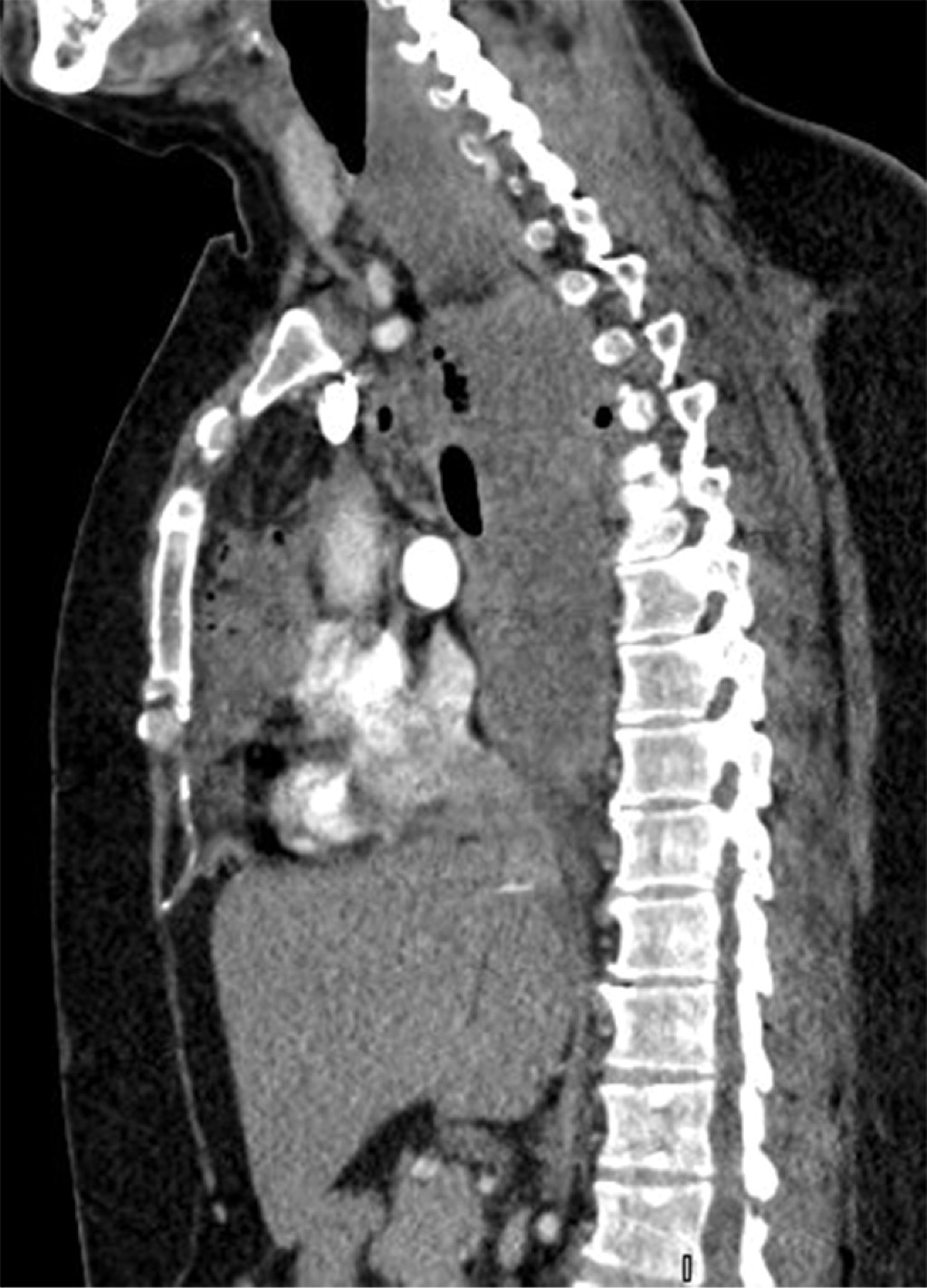
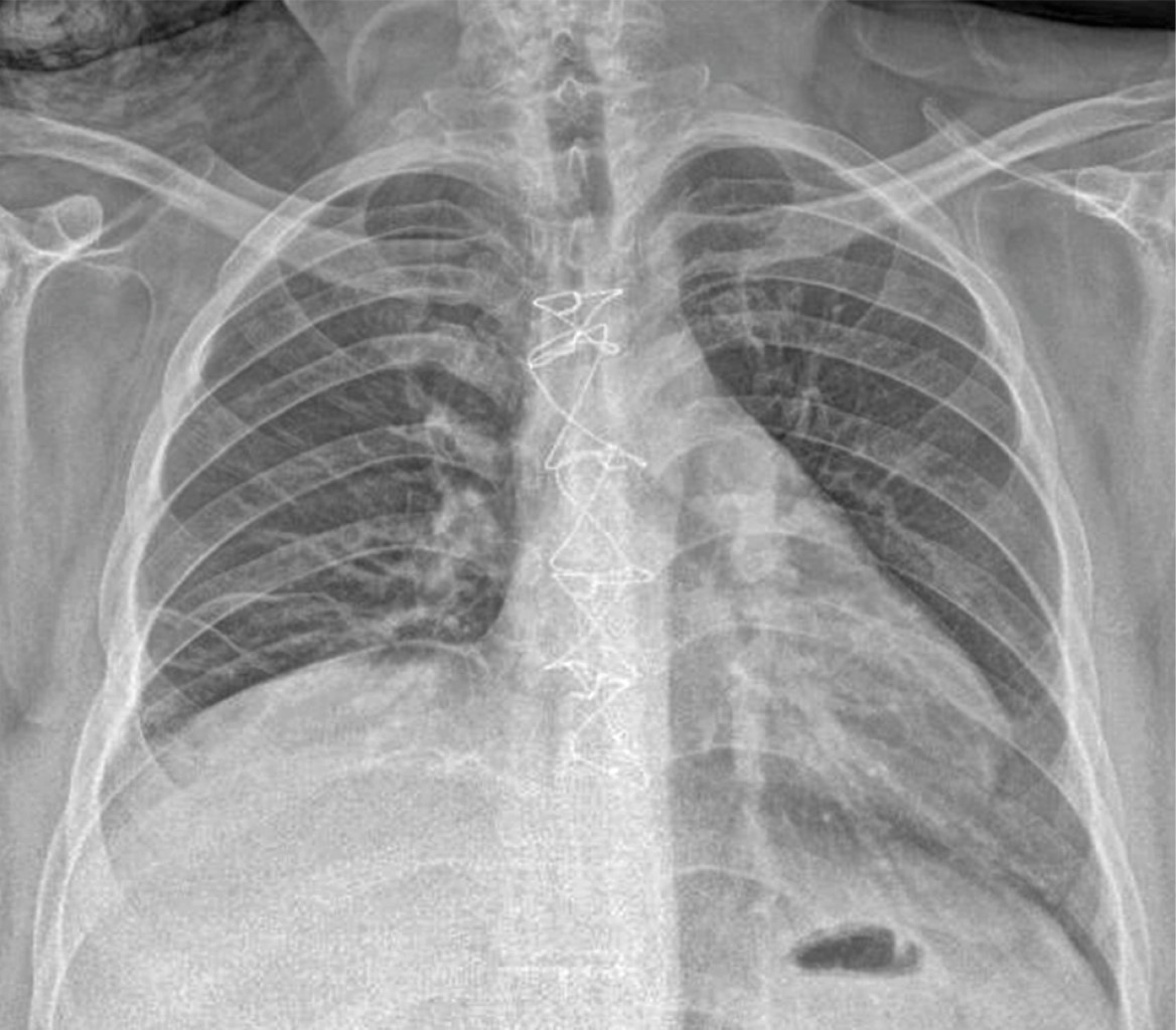
En nuestra serie la radiografía de tórax sigue siendo el estudio inicial en todo paciente con problema respiratorio por su accesibilidad y rápido resultado (Figura 1); sin embargo, la tomografía de tórax sigue siendo el estándar de oro en nuestra institución para el diagnóstico y planeación de manejo quirúrgico en los pacientes con mediastinitis (Figura 2).
El manejo quirúrgico, y particularmente la forma óptima de drenaje mediastinal, continúa siendo controvertido y va desde drenaje cervical por cervicotomía hasta la combinación de drenaje cervical y abordaje torácico utilizando mediastinoscopia, toracoscopia, toracotomía, esternotomía media o una incisión de Clamshell.1,12 En la actualidad con el surgimiento de la terapia de presión negativa, el drenaje mediastinal y cervical se ha visto particularmente beneficiado, ya que la necesidad de reintervenciones agresivas y el número de días de estancia hospitalaria pueden verse disminuidos. Nuestra serie empleó la terapia de presión negativa en 11 pacientes, con una media de 10.78 ± 10.01 días de uso de la terapia con un promedio de recambios entre uno y tres por paciente, con una media de estancia hospitalaria de 30.50 ± 19.86 días en los pacientes con uso de terapia de presión negativa versus 20.07 ± 13.66 en quienes ésta no se empleó. En el análisis por pares no se encontró diferencia estadísticamente significativa en los días de estancia hospitalaria con o sin el uso de terapia de presión negativa con una p = 0.132. Cabe señalar que se debe tomar en cuenta el sesgo histórico, pues en los años previos a 2016 no se empleaba el uso de terapia de presión negativa en nuestro instituto al no contar con la misma. De igual manera y aunado a la limitante de tratarse de un estudio retrospectivo, hará falta un análisis de una muestra mayor en la que no sea necesario recurrir al análisis pareado de la muestra. A la par, se registró que el mayor número de reintervenciones fue en estos pacientes, aunque el procedimiento a realizar fue el recambio de la terapia de presión negativa, que no se trata de un procedimiento quirúrgico mayor; y aunque en el INER se realiza en sala de quirófano, es un procedimiento que puede efectuarse de forma segura en la cama del paciente. Hará falta ampliar la muestra con los casos futuros para poder determinar si realmente se observa una diferencia en los días de estancia hospitalaria en los pacientes en los que sí se emplea y en aquéllos en los que se decide no emplearla.
Indiscutiblemente el drenaje quirúrgico agresivo es esencial para el éxito del manejo en la MND,3 ya que se ha demostrado que la terapia antimicrobiana intravenosa de amplio espectro no es efectiva por sí misma sin el drenaje efectivo de la región cervical y de las colecciones mediastinales.1 El fracaso para lograr un drenaje mediastinal completo y adecuado se asocia con mayor riesgo de muerte.10
La mayoría de los autores declinan el solo uso de drenaje cervical, la mayoría coincide en que este abordaje no permite la visualización completa del mediastino y por ende, la escisión adecuada del tejido necrótico.3 Estrera et al. recomendaron en 1983 el drenaje transtorácico para la mediastinitis que se extiende por debajo de la cuarta vértebra torácica en el plano posterior, ya que ha sido asociado con más complicaciones como aumento de la incidencia de empiema pleural.1-4,17,18 Wheatley et al. recomiendan la combinación de drenaje cervical y mediastinal anterior al drenaje a través del enfoque subxifoideo, junto con traqueostomía para asegurar la vía aérea, ya que el drenaje cervical por sí solo tiene una tasa de fracaso de 70 a 80% conllevando a múltiples reintervenciones, estancias hospitalarias prolongadas y una mortalidad de casi 40%.1,2,19 Otros autores recomiendan el drenaje agresivo del mediastino a través de una toracotomía estándar como el tratamiento óptimo para MND, independientemente del nivel de mediastinal.16,20-22
En nuestro grupo de pacientes, el abordaje combinado fue el que más se usó en un total de 39 pacientes (76.49%), siendo la cervicotomía combinada con esternotomía media la más empleada en un total de 21 pacientes (41.17%), seguida de cervicotomía combinada con toracotomía derecha en 16 pacientes (31.37%). La esternotomía media también parece ser factible en la MND tipo I y IIA, pero inadecuada en la tipo IIB porque el acceso a los compartimentos posteriores y basales de la cavidad torácica es difícil, además de estar asociada a osteomielitis y dehiscencia esternal.3,23,24 En nuestra serie, un paciente (1.97% del total y 4.76% de los pacientes sometidos a esternotomía) presentó osteomielitis y dehiscencia esternal, necesitando de reconstrucción de pared torácica con flap de músculos pectorales.
Desde los inicios de la cirugía videoasistida en los años 90 y la extensión de su uso en la cirugía torácica se ha contemplado como opción en el tratamiento de la MND. Roberts et al. reportaron por primera vez un caso de drenaje toracoscópico como alternativa en un paciente con abscesos mediastinales secundarios a una perforación esofágica.25 En 2004, Isowa et al. informaron el manejo exitoso de un paciente con MND a través de Video Assisted Thoracoscopic Surgery (VATS). Además, otros dos grupos de autores informaron el uso exitoso de VATS en cuatro y nueve pacientes con MND. Si bien el drenaje toracoscópico no ha sido completamente descrito para el manejo de la MND, la exposición toracoscópica permite una adecuada visualización del mediastino posterior con un adecuado drenaje de las colecciones; asimismo, se pueden visualizar y drenar colecciones mediastinales.26-29 El drenaje asistido por mediastinoscopia también puede ser útil en casos seleccionados.29 En nuestro grupo de pacientes sólo a 3.92% se intervino por cirugía mínimamente invasiva con adecuados resultados posquirúrgicos en ambos grupos. Cabe señalar que deberá individualizarse cada caso y tomar en cuenta el grado de mediastinitis y los compartimientos mediastinales involucrados para seleccionar de forma adecuada el abordaje quirúrgico de elección.
Después del manejo quirúrgico, el promedio de días de posoperatorio en hospitalización fue de 22.65 ± 15.61 días. Sin diferencia estadística entre los grupos intervenidos por mínima invasión versus abierta y los grupos en los que se usó o no la terapia de presión negativa como se mencionó previamente (Figura 3).
Las tasas de mortalidad siguen siendo altas y oscilan entre 12.5 y 37.5% en la mayoría de las series publicadas recientemente. La principal causa de muerte es la falla orgánica múltiple, por lo cual es esencial la participación de la unidad de cuidados intensivos (UCI). Las estancias prolongadas en la UCI y en el hospital son la regla para pacientes tratados por MND en la mayoría de las series publicadas. La necesidad de una segunda o incluso más intervenciones quirúrgicas es también alta (33-100%) en la mayoría de las series publicadas y en especial después de un primer intento de drenar el mediastino a través del cuello.10
En nuestra serie se presentaron complicaciones posquirúrgicas en nueve pacientes (17.64%), siendo tromboembolia pulmonar en dos pacientes (3.92%), infarto agudo al miocardio, insuficiencia renal aguda, sangrado de tubo digestivo alto, taquicardia supraventricular, osteomielitis esternal y parálisis cordal derecha en un paciente, cada una (1.96%). Además, hubo un total de 14 defunciones (27.45%), siendo la causa más común choque séptico, coincidiendo con lo ya reportado previamente en la literatura. Todas las defunciones se registraron en los pacientes sometidos a cervicotomía + abordaje abierto (esternotomía y/o toracotomía), no se registró ninguna muerte en pacientes sometidos a toracoscopia y a terapia de presión negativa; sin embargo, no se puede considerar una relación estricta entre el abordaje y la mortalidad, ya que contamos con el sesgo histórico. En concordancia con lo ya reportado en la literatura, la mortalidad sí está asociada a la gravedad clínica del paciente con diagnóstico de choque séptico.
Dado que no hay un algoritmo estandarizado para el manejo quirúrgico de la MND, se deberá considerar la etapa y el estado clínico de los pacientes para elegir cuidadosamente el procedimiento quirúrgico a realizar, así como el abordaje quirúrgico que permita un drenaje óptimo del mediastino y cavidades pleurales tomando en cuenta las posibilidades de cada centro hospitalario. Así, tomando en cuenta los datos de nuestra revisión y el manejo actual de los pacientes con MND en el INER recomendamos los siguientes puntos: 1) abordaje multidisciplinario en conjunto con neumología, terapia intensiva, anestesiología, infectología y cirugía de tórax; 2) diagnóstico oportuno con TC, inicio temprano de antibióticos de amplio espectro y programación quirúrgica temprana; 3) drenaje quirúrgico agresivo, cervicotomía en pacientes con mediastinitis ENDO I y abordaje combinado (cervicotomía + esternotomía o cervicotomía + VATS versus toracotomía) en los pacientes con mediastinitis ENDO IIA y IIB; 4) el tipo de abordaje torácico (esternotomía, toracotomía o VATS) deberá decidirse con base en la infraestructura y equipo hospitalario así como en la experiencia del cirujano, siempre que se garantice un drenaje y desbridamiento completo de todos los espacios mediastinales involucrados.
Conclusiones
La MND sigue teniendo impresionantes tasas de morbimortalidad de 30 a 40% o más, casi siempre atribuido a un retraso en el diagnóstico y drenaje quirúrgico inadecuado del mediastino. Por lo mismo, la MND requiere un enfoque multidisciplinario basado en el apoyo de una unidad de cuidados intensivos, terapia antibiótica agresiva y el drenaje y desbridamiento quirúrgico del sitio de infección inicial y el mediastino, ya que el pronóstico para la enfermedad es malo si no recibe el tratamiento adecuado. El papel de la cirugía es crucial, para un resultado exitoso se deberá tener conocimiento amplio de la anatomía cervical y mediastinal así como de las vías de diseminación de la infección.
Los resultados de nuestra serie no difieren de los reportados en la literatura, los abordajes descritos fueron empleados de acuerdo con la disponibilidad de los recursos con el paso del tiempo y la estancia hospitalaria y la mortalidad no difieren de lo reportado en la literatura.
AFILIACIONES
1 Instituto Nacional de Enfermedades Respiratorias Ismael Cosío Villegas. Ciudad de México, México.Conflicto de intereses: los autores declaran no tener conflicto de intereses.
REFERENCIAS