Radiografía de tórax en pediatría. Una interpretación sistematizada
Aguilar-Viveros, Brenda1; Zamora-Ramos, Margarita2; Martínez-Martínez, Blanca Estela1; Thomé-Ortiz, Laura Patricia1
Aguilar-Viveros, Brenda1; Zamora-Ramos, Margarita2; Martínez-Martínez, Blanca Estela1; Thomé-Ortiz, Laura Patricia1
RESUMEN
La lectura de la radiografía torácica requiere de entrenamiento y repetición. Las proyecciones básicas son: lateral izquierda y posteroanterior. Se recomienda seguir un orden en su interpretación: identificación del paciente, tipo de proyección, descripción de la técnica (mediante la nemotecnia GERICA), revisión de partes blandas, partes óseas, cúpula diafragmática, mediastino, silueta cardíaca y al final, el parénquima pulmonar; todo esto considerando las diferencias propias en la edad pediátrica (cambios en la técnica por grupo etario, variaciones óseas, valores normales del índice cardiotorácico, presencia de timo, etcétera). Esto ayudará a no pasar por alto ninguna alteración y obtener el mejor provecho de este estudio, el cual se encuentra presente en el día a día de todo médico clínico.PALABRAS CLAVE
radiografía torácica, pediatría, interpretación.Introducción
La radiografía de tórax es un instrumento diagnóstico cotidiano en la atención del paciente pediátrico que brinda información puntual, de ahí la importancia del adecuado análisis e interpretación. Comúnmente se dice, "una imagen dice más que mil palabras". Un adecuado ejercicio en la evaluación radiográfica puede proveer información dinámica derivada de una imagen estática.1
Técnica radiológica
La exploración radiológica habitual del tórax consiste en la realización de dos proyecciones: posteroanterior (PA) y lateral izquierda (L). Se realizan con el paciente en bipedestación o sedestación, la PA a una distancia foco-película de 1.8 metros y la lateral izquierda a 2 metros.
La correcta exposición se logra utilizando picos de kilovoltaje (kVp) en rangos de 100 a 140, con la finalidad de reducir el índice de dispersión de la radiación y visualizar las estructuras óseas con mejor densidad y, a su vez, identificar de forma adecuada el parénquima pulmonar y mediastino. La imagen resulta de la suma del paso de un haz policromático de rayos X a través de un objeto que contiene áreas con diferente coeficiente de absorción, registrándose en la película la combinación de la respuesta a la intensidad de la luz emitida y la porción no absorbida de la radiación.1-4 Se realizan en máxima inspiración y en apnea.
En la radiografía de tórax, las estructuras mediastinales y el diafragma se superponen al parénquima pulmonar, por lo que en una proyección PA tendremos 40% de áreas ocultas; por lo tanto, siempre es recomendable una proyección lateral.2-4
En pacientes con mal estado clínico, lactantes y pacientes poco cooperadores, frecuente en la edad pediátrica, se realizan radiografías en proyección anteroposterior (AP) y con equipos portátiles, con el inconveniente de obtener imágenes de baja calidad técnica, dado que esta proyección se realiza a menor distancia foco-película, magnifica las estructuras y se obtienen imágenes menos nítidas.5
Existen otras proyecciones radiológicas como son: la radiografía en espiración, la cual detecta pequeños neumotórax y atrapamiento aéreo localizado asociado a cuerpos extraños; la proyección en decúbito lateral con rayo horizontal que evalúa líquido libre en la cavidad pleural, entre otras.
Conceptos básicos y terminología
En radiología convencional disponemos de cinco densidades: aire, grasa, agua, calcio y metal (Figura 1).
Recuerda, radiolúcido es todo aquel objeto, órgano o tejido que permite el paso de luz a través de él y se traduce como tonalidades oscuras. Mientras que radiopaco es todo aquel objeto, órgano o tejido que no permite el paso de luz o que pone resistencia al paso de luz sobre él y se traduce como tonalidades claras en la imagen radiológica.
Interpretación
Debe existir un análisis sistematizado en la interpretación de la radiografía torácica. Sugerimos el siguiente orden:
Todas las proyecciones radiológicas se interpretan en el mismo orden, incluyendo la lateral.
Proponemos la nemotecnia GERICA para recordarlos durante la interpretación.
Descripción radiológica
Se sugiere iniciar por las partes de menor a las de mayor interés, con la finalidad de no pasar por alto alteraciones menores.
Directos
Indirectos
Conclusiones
La radiografía de tórax es una herramienta muy útil en el estudio de un gran número de patologías pediátricas y forma parte de la evaluación inicial. Su interpretación adecuada puede ser el punto de partida en la sospecha diagnóstica. Es importante que ésta se realice de manera sistemática y que se consideren las diferencias propias de la edad pediátrica.
AFILIACIONES
1Centro Médico Nacional Siglo XXI, Instituto Mexicano del Seguro Social, Ciudad de México 2 Hospital Regional de Xalapa "Dr. Luis F. Nachón", Xalapa, Veracruz.Conflicto de intereses: los autores declaran no tener conflicto de intereses.
REFERENCIAS
Guzzo-De León D. Análisis secuencial segmentario para el diagnóstico de cardiopatías congénitas. El aporte de la radiología, del electrocardiograma y de la ecocardiografía. Rev Urug Cardiol [Internet]. 2008;23(1):21-48. Disponible en: http://www.scielo.edu.uy/scielo.php?script=sci_arttext&pid=S1688-04202008000100004&lng=es
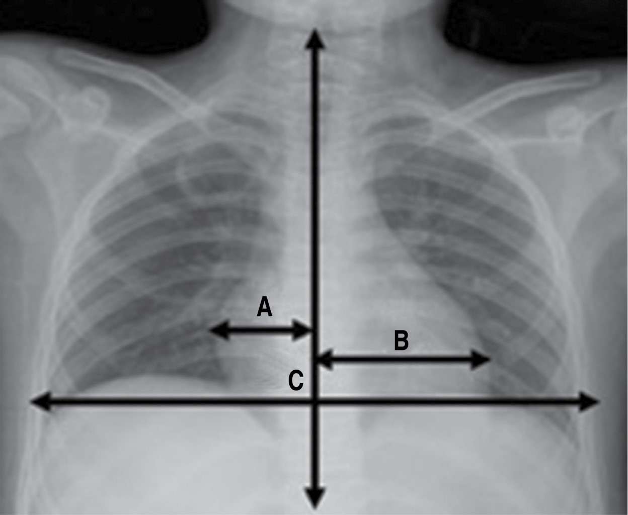
Tabla 1: Valores del índice cardiotorácico (CT) en las edades pediátricas.9-11 |
||
Edad |
Índice CT |
Rango |
0-3 semanas |
0.55 |
0.45-0.65 |
4-7 semanas |
0.58 |
0.46-0.70 |
1 año |
0.53 |
0.45-0.61 |
1 a 2 años |
0.49 |
0.39-0.60 |
2-6 años |
0.45 |
0.40-0.52 |
7 años |
< 0.50 |
0.40-0.50 |