Síndrome de Swyer James MacLeod. Reporte de caso de pulmón hiperlúcido
Torres-Rodríguez, Servio Tulio1; Reyes-Zúñiga, Karla Marleny1; Chang-Castillo, Iván Estuardo2; Herrera-Cruz, Danilo1
Torres-Rodríguez, Servio Tulio1; Reyes-Zúñiga, Karla Marleny1; Chang-Castillo, Iván Estuardo2; Herrera-Cruz, Danilo1
RESUMEN
PALABRAS CLAVE
síndrome de Swyer James MacLeod, pulmón hiperlúcido, caso clínico.Introducción
El síndrome de Swyer James MacLeod fue descrito simultáneamente en 1950 por tres profesionales, lo que destaca la interrelación de las diferentes disciplinas de la medicina, la neumología y la radiología. Los tres médicos, uno de origen inglés y dos canadienses, coincidieron en los hallazgos del síndrome que hoy lleva sus nombres. Se relaciona con bronquitis y bronquiolitis obliterante, adquiridas durante la infancia a partir de una infección bacteriana o viral, y su diagnóstico suele ser incidental en el curso de una evaluación radiológica en que se pone de manifiesto la hiperlucidez unilateral del pulmón.
Caso clínico
Paciente femenino de 31 años de edad, consultó a hospital nacional con historia de dolor leve retroesternal, insidioso, que no irradia y alivia al dormir. Por hallazgos poco definidos en la radiografía, solicitan tomografía de tórax y la trasladan a nuestro centro. Reporta antecedentes en infancia y adolescencia de enfermedades respiratorias, como neumonías, bronquitis, resfriados comunes tratadas ambulatoriamente, y durante la pandemia padeció COVID-19 no complicado.
Ingresó en buen estado general y nutricional, SO2 99%, frecuencia cardíaca (FC) 74 latidos por minuto (lpm), sin disnea ni cianosis. Pulmones con adecuada entrada de aire y corazón rítmico sin soplos. Los laboratorios: hemoglobina 13 mg/mL; hematocrito 39%; plaquetas 224 x 109/L; dímero D 273.59; alfa 1 antitripsina 98.8 (82.50-320). Pruebas de función pulmonar: espirometría; FEV1 3.09 (52%) 1.55; FVC 3.64 (59%) 2.13; FEF 25-75% 85.39 (88%) 72.89, sugerente de restricción. Pletismografía corporal/flujo-volumen no interpretable. Difusión SB, DLCO 8.18 (80%) disminución leve. Caminata de Lenin, camina 225 m, siendo 35% de su predicho, sin pausas durante la prueba. NADIR: SO2 88% sin necesidad de oxígeno suplementario.
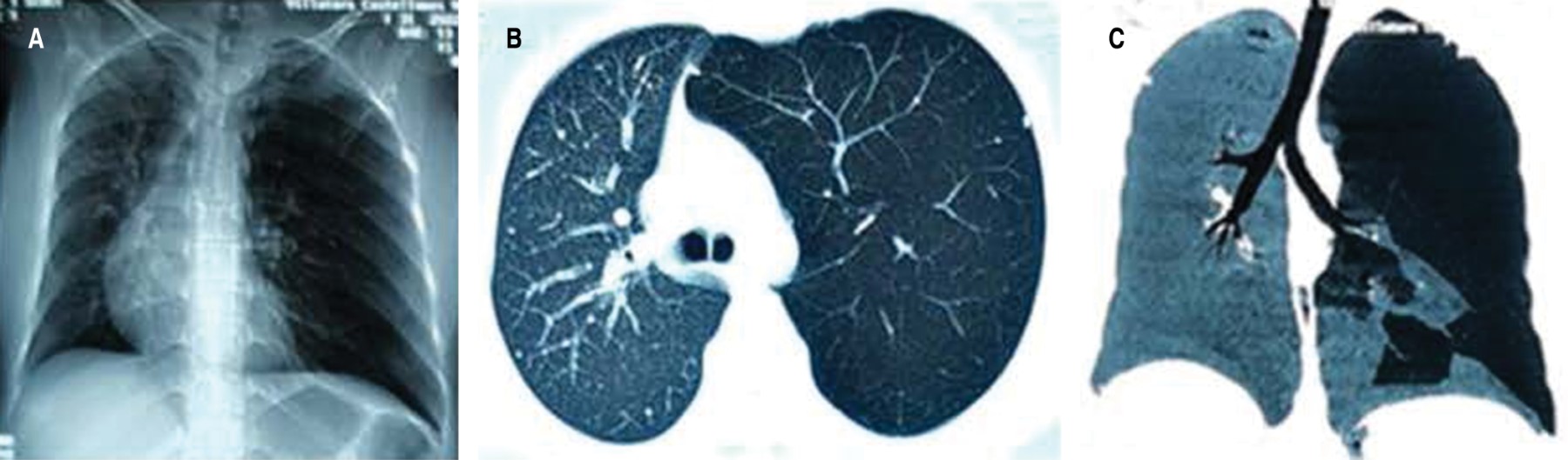
La radiografía de tórax mostró pulmón izquierdo sobredistendido, desplazando el mediastino hacia la derecha e hiperlúcido; en la tomografía axial computarizada (TAC) se observó, además, distribución anómala de la vasculatura pulmonar con áreas de hipoperfusión de distribución variable (Figura 1).
Descartando probable tromboembolia pulmonar (TEP), se solicita angioTAC, la cual no muestra datos de TEP en las reconstrucciones digitales, mostrando continuidad de opacificación de arterias pulmonares de primer y segundo orden. Pulmón con hiperclaridad izquierda e hipoplasia de la arteria pulmonar ipsilateral que mide 9 mm en diámetro A-P en comparación a 20 mm de la derecha. Considerar síndrome de Swyer James MacLeod (Figura 2). El ecocardiograma, informa dextrocardia con FE en 55%. Baja probabilidad de HPA con presión sistólica pulmonar en 20 mmHg. La TAC abdominal no reporta anomalías.
Discusión
El síndrome de Swyer James MacLeod es una rara entidad clínico-radiológica que reporta una prevalencia de 0.01% en 17,450 radiografías de tórax.1,2 Presentamos el caso de una joven mujer con antecedente de afecciones respiratorias a repetición en la infancia, lo que probablemente la llevó a desarrollar cambios estructurales en su pulmón. Por las características que muestra, se trata de este síndrome que no tiene etiología definida, pero se le relaciona con infecciones virales como el virus de la influenza A, el sincitial respiratorio, paperas, paramixovirus, adenovirus de tipo 3, 7 y 21; así como un origen bacteriano, en el que se ven involucradas la Bordetella pertussis, Mycobacterium tuberculosis y Mycoplasma pneumoniae.1 Se trata de una enfermedad enfisematosa infrecuente que se caracteriza por la obliteración de los bronquiolos pequeños, hipoplasia o ausencia de arteria pulmonar y lecho vascular periférico.3 La anormalidad funcional de este síndrome es indudablemente obstrucción crónica espiratoria difusa con atrapamiento distal de aire.4 La característica más distintiva en comparación con el enfisema es la ausencia de patología obstructiva crónica en la vía aérea pequeña,3 que coincide con los datos de la FEF 25-75% 85.39 (88%) 72.89, obtenida de la paciente.
Un leve dolor en el tórax motivó su consulta y la radiografía mostró el pulmón izquierdo hiperlúcido. Se diagnostica con mayor frecuencia en la infancia, típicamente ocurre en niños menores de ocho años, antes que el pulmón haya completado el desarrollo y la maduración pulmonar.5 Puede cursar de forma asintomática hasta la edad adulta, presentarse con neumotórax espontáneo generalmente asintomático,2 o como condición poco frecuente de emergencia,3 como bula calcificada6 y con transfiguración placentaria del parénquima pulmonar.7 La radiografía y tomografía de tórax de la paciente, mostraron pulmón segmentario hiperlúcido con alteración de la vascularidad, lo que normalmente describen otros autores como hiperclaridad pulmonar unilateral o lobar, asociada a atrapamiento aéreo del pulmón hiperclaro durante la espiración.2,5,8 A fin de descartar el diagnóstico diferencial de tromboembolia pulmonar se solicitó angiotomografía, la cual demostró las anomalías anatómicas de la arteria pulmonar izquierda con un menor calibre y disminución del flujo. El patrón espirométrico evidenció proceso restrictivo. No se realizó gammagrafía pulmonar que pudiera mostrar la disminución de la ventilación del pulmón patológico secundario a cambios enfisematosos y una marcada disminución de la perfusión, como consecuencia del menor calibre de la arteria pulmonar.5,8 Por lo tanto, los criterios de diagnóstico para este síndrome requieren uno de los siguientes hallazgos: a) pérdida unilateral del volumen pulmonar con hiperlucencia demostrada por radiografía de tórax; b) reducción unilateral de la vascularización en una tomografía computarizada del tórax; y c) pérdida de perfusión unilateral en gammagrafía pulmonar con tecnecio-99m.1,2
El tratamiento se establece de acuerdo con los síntomas, pudiendo variar de una conducta conservadora a indicaciones quirúrgicas. La cirugía se reserva para pacientes con infecciones pulmonares recurrentes que no respondan a tratamiento conservador o cuyos síntomas no se controlan adecuadamente con tratamiento médico óptimo. Las opciones quirúrgicas incluyen neumonectomía, cirugía de reducción de volumen, lobectomía o segmentectomías anatómicas o no anatómicas,1 realizadas por toracotomía, videotoracoscopia o robótica de acuerdo con la preferencia, experiencia y disponibilidad de recursos. Por su evolución clínicamente estable, se eligió una terapéutica conservadora con seguimiento en consulta externa.
Conclusiones
El síndrome de Swyer James MacLeod es una entidad infrecuente que por lo general se presenta asintomática; su diagnóstico habitualmente es un hallazgo incidental y el tratamiento es conservador en la mayoría de los pacientes, teniendo indicaciones quirúrgicas definidas.
Agradecimientos
Al Dr. Sergio Villeda Castañeda, maestro en cirugía general, y a la Dra. Elka Lainfiesta Moncada, anestesióloga, por su aporte a la revisión del presente caso clínico.
AFILIACIONES
1Hospital San Vicente, Guatemala, Guatemala 2Clínica Londres, Guatemala, Guatemala.Conflicto de intereses: los autores declaran no tener conflicto de intereses.
REFERENCIAS