Schwannoma, un diagnóstico diferencial en los tumores de mediastino posterior
Palomares-Capetillo, Paola1; Armas-Zárate, Francisco Javier1; Iñiguez-García, Marco Antonio1
Palomares-Capetillo, Paola1; Armas-Zárate, Francisco Javier1; Iñiguez-García, Marco Antonio1
RESUMEN
Los tumores del mediastino posterior son predominantemente tumores neurogénicos. Los tumores neurogénicos surgen de tejidos cuyo origen es la cresta neural embrionaria y se clasifican de acuerdo a si crecen a partir de la vaina nerviosa, de las células nerviosas o si son paraganglionares. Entre el grupo de tumores benignos de vaina nerviosa, los schwannomas y los neurofibromas son los más comunes. El schwannoma es el tumor neurogénico intratorácico más frecuente. La piedra angular del tratamiento de los tumores neurogénicos, ya sean benignos o malignos, es la resección quirúrgica completa, y es importante para la confirmación diagnóstica y descartar degeneración maligna.PALABRAS CLAVE
mediastino posterior, tumor, schwannoma.Introducción
Los tumores mediastinales representan una amplia variedad de posibilidades diagnósticas. Los tumores del mediastino posterior son predominantemente tumores neurogénicos (53.9%), seguidos de quistes benignos (13.9%) y linfomas (5%). La incidencia de tumores neurogénicos mediastinales es de 4.1%, pueden ocurrir en cualquiera de los compartimentos; sin embargo, de 71-95% se presentan en el mediastino posterior.1 Típicamente surgen de las raíces de los nervios espinales. La mayoría de estos tumores ocurren en adultos.2 La malignidad es inusual y se suelen localizar en el surco paravertebral.2
Se presentan con mayor frecuencia entre la tercera y la sexta década de la vida; la mayoría se diagnostica de manera incidental.3 Entre 30-40% son asintomáticos al momento del diagnóstico. Con el crecimiento, los síntomas se presentan por compresión local de los tejidos adyacentes y principalmente son: dolor torácico, tos, disnea, ronquera, estridor, síndrome de vena cava superior y debilidad muscular.4
Los tumores neurogénicos surgen de tejidos cuyo origen es la cresta neural embrionaria; se clasifican de acuerdo a si crecen a partir de la vaina nerviosa, de las células nerviosas o si son paraganglionares.3 Entre el grupo de tumores benignos de vaina nerviosa, los schwannomas y los neurofibromas son los más comunes y representan el 90%.4 Éstas son lesiones benignas, de lento crecimiento, que con mayor frecuencia surgen de las raíces de los nervios espinales, pero pueden involucrar cualquier nervio torácico.
En los estudios de imagen, los tumores de vaina periférica son tumores bien definidos, hipodensos, con baja atenuación y realce al contraste en la tomografía computarizada (TC). En las imágenes por resonancia magnética (IRM) son isointensos en T1 e hiperintensos en T2.1 La resonancia magnética es el método más sensible para definir la presencia y extensión del componente intraespinal del tumor. Está indicada cuando el tumor está contiguo al foramen neural, cuando hay un foramen intervertebral ensanchado o cuando existe erosión de un cuerpo vertebral o un pedículo.5
El schwannoma es el tumor neurogénico intratorácico más frecuente, representa aproximadamente 75% de los tumores de vaina nerviosa. Puede surgir de cualquier elemento neural dentro del tórax. Generalmente son friables y encapsulados. Es rara la recurrencia y las metástasis.5-8
Histológicamente están compuestos de células de Schwann, así como una cápsula bien formada. Los cuerpos de Verocay son otra característica histológica, pero no es sensible ni específica. Están compuestos de dos áreas: Antoni A y Antoni B. Por inmunohistoquímica, son positivos para la proteína S100, SOX10, CD57 y GFAP. La variante celular puede tener mayor riesgo de recurrencia, pero no muestra potencial metastásico.1,2 En la Tabla 1 se muestran las principales diferencias en el diagnóstico de schwannoma y neurofibroma.
La piedra angular del tratamiento de los tumores neurogénicos es la resección quirúrgica completa, y es importante para la confirmación diagnóstica y descartar degeneración maligna.3
El abordaje quirúrgico deberá decidirse de acuerdo con el tamaño del tumor, su localización y la extensión o involucro intraespinal/neuroforaminal.5 El abordaje por cirugía torácica videoasistida (VATS) se prefiere en aquellos tumores que no muestren signos preoperatorios de malignidad y que no involucren la médula espinal.9 Como la mayoría de estos tumores se originan de la cadena simpática, el síndrome de Horner es la complicación más temida después de la cirugía.3 En los casos más complejos con un componente intraespinal se suele requerir un enfoque neuroquirúrgico y torácico combinado que incorpore una laminectomía seguida de toracotomía o toracoscopia para completar la resección.5
Presentación del caso
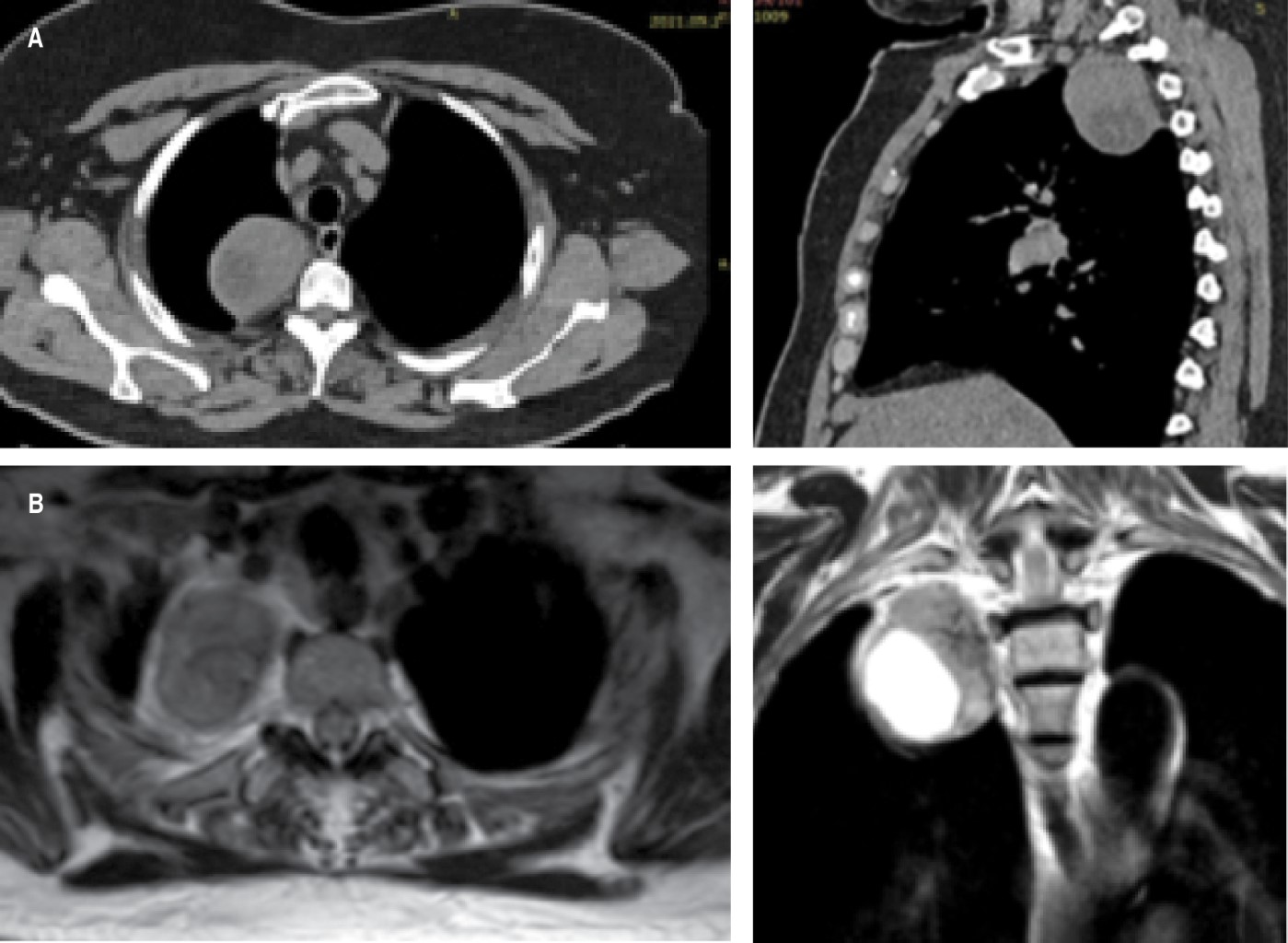
Femenino de 67 años. Antecedentes de importancia: alergia a penicilina. Tabaquismo negado. Inició su padecimiento posterior a infección por SARS-CoV-2, donde se realizó una tomografía simple de tórax con hallazgo incidental de tumor de mediastino posterior (Figura 1A). Se completó estudio con resonancia magnética (Figura 1B) motivo por el que se envió al Servicio de Cirugía de Tórax del Instituto Nacional de Enfermedades Respiratorias Ismael Cosío Villegas, Ciudad de México. Exámenes preoperatorios y marcadores tumorales normales. Se decidió abordaje por VATS con dos puertos para resección del tumor (Figura 2A), con hallazgos de un tumor dependiente de la vaina nerviosa a nivel del segundo espacio intercostal, blanquecino, vascularizado, de 5 × 4 cm de diámetro (Figura 2B), el cual se resecó en su totalidad sin complicaciones. Evolución posquirúrgica satisfactoria, retirando el drenaje al tercer día, con adecuada expansión pulmonar. Reporte de patología de un tumor de vaina nerviosa periférica compatible con schwannoma, con inmunohistoquímica positiva a PS100 y enolasa. Seguimiento a seis meses sin evidencia de recidiva tumoral.
Discusión
Presentamos un caso clínico de una paciente con diagnóstico definitivo de schwannoma. En nuestro caso se trató de un tumor de mediastino posterior que fue un hallazgo incidental en una paciente asintomática, como sucede en la mayor parte de casos reportados en la literatura.
En estos casos el principal diagnóstico diferencial es entre schwannoma y neurofibroma, siendo el primero el más frecuente en la literatura. Para el diagnóstico definitivo es imprescindible el apoyo en inmunohistoquímica para confirmar su origen neurogénico y distinguir entre ellos. En este caso, al estudio anatomopatológico se observó una neoplasia de origen mesenquimal, encapsulada, con patrón de crecimiento bifásico (Antoni A y Antoni B), en su mayoría mixoides; con empalizada nuclear alrededor de un proceso fibrilar (cuerpos de Verocay). A la inmunohistoquímica positivo para PS100 y enolasa, lo cual orienta a un diagnóstico de schwannoma. En nuestro caso, la paciente no contó con criterios para neurofibromatosis, por lo que se consideró un tumor esporádico.10
Se decidió el abordaje por mínima invasión con dos puertos con base en el tamaño y la localización del tumor. Lo cual permitió una resección completa y adecuada recuperación en la paciente. En la literatura se recomiendan los abordajes mínimamente invasivos dependiendo el tamaño del tumor y cuando no hay sospecha de involucro con la médula espinal. Lo que permite una estancia hospitalaria más corta, menos dolor posoperatorio y mismos resultados oncológicos.9 Sin embargo, están descritos múltiples tipos de abordaje, dependiendo las características del tumor e involucro de la médula espinal.5,9
La resección completa es la piedra angular del tratamiento. Lo que permite una alta tasa de curación a cinco años y baja recidiva. El seguimiento a largo plazo no está bien determinado, ya que son tumores de lento crecimiento, un período de cinco a diez años es lo comúnmente estipulado.
Conclusiones
El schwannoma es un diagnóstico diferencial entre los tumores de mediastino posterior. Los estudios de elección para diagnóstico son la tomografía computarizada y la resonancia magnética que brindan detalles del nivel de involucro del tumor. El diagnóstico se apoya en las características por patología e inmunohistoquímica. El tratamiento es la resección quirúrgica completa, idealmente por abordaje mínimamente invasivo, lo que permite una adecuada supervivencia y baja recidiva.
Agradecimientos
Al Departamento de Patología del Instituto Nacional de Enfermedades Respiratorias.
AFILIACIONES
1Instituto Nacional de Enfermedades Respiratorias Ismael Cosío Villegas. Ciudad de México, México.Conflicto de intereses: los autores declaran no tener conflicto de intereses.
REFERENCIAS
Tabla 1: Diferencias histopatológicas entre los principales tumores del mediastino posterior. |
||
|
Neurofibroma |
Schwannoma |
Citología |
|
|
Tamaño del núcleo |
+ |
++ |
Hipercromasia nuclear |
+ |
++ |
Núcleos ondulados |
+++ |
+ |
Histología |
|
|
Colágeno de tipo «zanahoria rallada» |
+++ |
-/+ |
Cápsula |
- |
+++ |
Vasos hialinizados |
-/+ |
+++ |
Patrón de crecimiento fascicular |
-/+ |
++ |
Actividad mitótica |
-/+ |
-/+ |
Necrosis |
- |
-/+ |
Inmunohistoquímica |
|
|
S100 |
++/+++ |
+++ |
Colágeno IV |
++/+++ |
+++ |
EMA |
+ |
- |
CD34 |
+++ |
+++ |
Podoplanina |
+ |
++ |
Calretinina |
+ |
+++ |
Sox 10 |
+++ |
+++ |
EMA = antígeno epitelial de membrana. |