Tumor de células germinales mixtas extragonadal primario del mediastino. Reporte de caso
Sánchez-Zazueta, Eduardo1; Miyagui-Adame, Kiyoshi Alejandro1; Gamez-Sainz, Ilse Lorenia1; Galaviz-Humo, Jesús1
Sánchez-Zazueta, Eduardo1; Miyagui-Adame, Kiyoshi Alejandro1; Gamez-Sainz, Ilse Lorenia1; Galaviz-Humo, Jesús1
RESUMEN
Los tumores germinales suelen ser neoplásicas ubicadas en testículos u ovarios, manifestadas en edades tempranas de la vida. Los tumores extragonadales de células germinativas son infrecuentes, representan de 1 a 3% de las neoplasias germinales; cuando se presentan, generalmente son de una a dos estirpes, el mediastino anterior es el sitio más común. Suelen ser asintomáticos en 20-40% de los pacientes; hasta que hay compresión u obstrucción de las estructuras cercanas existe sintomatología. Presentamos el caso de un varón joven de 22 años sin comorbilidades, quien inició con tos sin predominio de horario, hemoptisis, fiebre, pérdida de peso no intencionada, diaforesis, ortopnea. A la exploración física destacaba síndrome pleuropulmonar de condensación; se realizaron estudios de gabinete, al inicio radiografía de tórax confirmando por tomografía de tórax, abdomen, pelvis, ultrasonido testicular y estudios séricos, masa en mediastino localizada en compartimiento anterior. Se realizó toma de biopsia y extirpación de masa mediastinal; concluye en un tumor extragonadal de células germinales mixtas primario de mediastino compuesto por tres extirpes celulares, representando un reto diagnóstico por su gran tamaño. Se ofreció tratamiento con quimioterapia a base de bleomicina, etopósido, cisplatino en cuatro ciclos, sin nuevas recaídas.PALABRAS CLAVE
tumor germinal mixto, alfafetoproteína, mediastino.Introducción
Los tumores primarios mediastinales de células germinales son neoplasias raras, se ha encontrado que se deben a una transformación maligna de las células germinativas que migran durante la embriogénesis. En estos tumores existe una alteración del epiblasto en su migración y descenso, conduciendo a la formación de un tumor en mediastino de forma tardía.1,2
Se dividen en dos grupos: tumores germinales seminomatosos y no seminomatosos. Los seminomas representan un 30%, mientras que los no seminomatosos un 70%, subdividiéndose en teratomas maduros con 44%, teratomas inmaduros 6%, tumores del saco vitelino 60%, tumores derivados de células embrionarias primitivas, representado al carcinoma embrionario 5%, tumores de diferenciación extraembrionaria como coriocarcinoma 2%.1,2
Las localizaciones germinales descritas tipo extragonadales a nivel del mediastino son raras, representan de 1 a 3% de las neoplasias germinales extragonadales, se encuentran 1.27 casos por 1'000,000 de habitantes sin evidencia de un tumor testicular primario; otra localización es el retroperitoneo.3-5
Al momento del diagnóstico, 20-40% de los pacientes son asintomáticos. Los métodos diagnósticos iniciales son ultrasonido testicular para descartar origen primario gonadal, seguido de estudio tomográfico de extensión incluyendo tórax, abdomen y pelvis. Los marcadores tumorales como alfafetoproteína y gonadotropina humana, no son diagnósticos por sí solos, sino que son útiles para guiar el pronóstico. La biopsia es el estudio diagnóstico de elección; al realizarla se debe solicitar inmunohistoquímica con marcadores como OCT4, SALL4 para confirmar el origen de células al tener alta sensibilidad para seminomas mediastínicos primarios y carcinomas embrionarios; en casos donde el diagnóstico histológico no es concluyente, se puede realizar cariotipo con el fin de identificar isocromosomas p12, que es una anomalía citogenética de los tumores con estirpe germinal.
Los tratamientos actuales recomendados son de elección como la quimioterapia seguida de la resección de la masa residual. Los esquemas de quimioterapia son similares a los usados en tumores de origen testicular con quimioterapia basada en cisplatino que consiguen remisiones completas a largo plazo en 50% de los casos. El esquema quimioterapéutico más comúnmente empleado incluye de tres a cuatro ciclos de cisplatino en combinación con etopósido y bleomicina. Si tras completar el tratamiento de quimioterapia las pruebas de imagen revelan persistencia de masas residuales, suele indicarse la resección óptima de las mismas; hasta en 30% de los tumores germinales primarios de mediastino se pueden observar restos tumorales, siendo útil la resección subóptima en estos casos. Cuando se produce una recaída o refractariedad al tratamiento inicial, los esquemas de quimioterapia actuales de rescate se basan en paclitaxel o la ifosfamida en combinación con cisplatino.6,7
Por la infrecuencia de la enfermedad extragonadal consideramos relevante este reporte, aún más por tratarse de un paciente joven y de un tumor germinal mixto en mayor proporción de seno endodérmico; hay muy pocos casos descritos en la literatura, los reportados suelen ser teratomas y la variedad mediastinal mixta.
Caso clínico
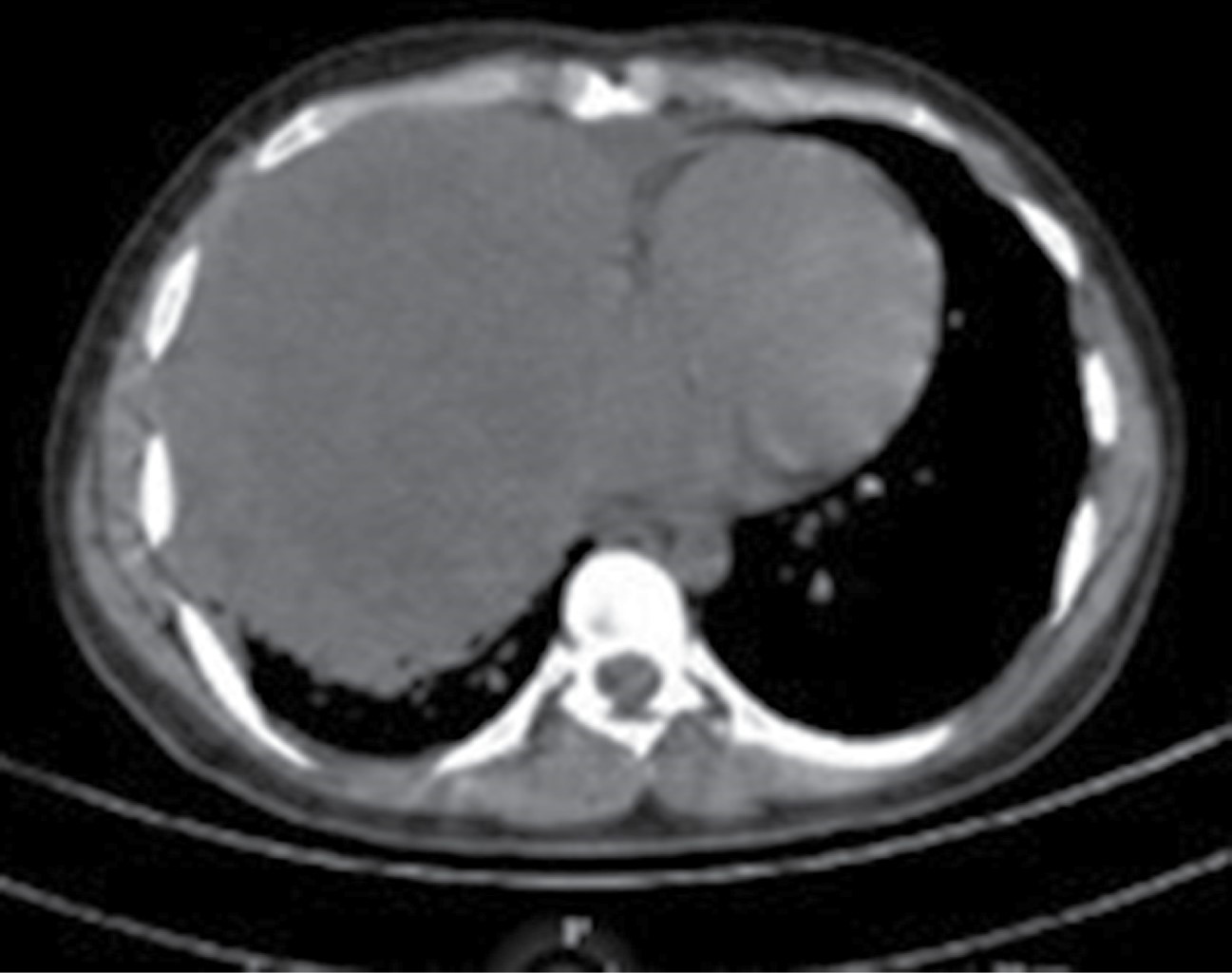
Masculino de 22 años sin antecedentes crónico-degenerativos. Inició padecimiento con tos, no cianozante, no emetizante. A los dos meses de evolución acudió a médico facultativo donde sospecharon de infección viral; a las dos semanas persistió con tos acompañada de hemoptisis, ortopnea, se agregó diaforesis nocturna, pérdida de peso de 7 kg en tres meses, fiebre de 39 °C. Al no mejorar la sintomatología, se le realizó radiografía de tórax, encontrando incidentalmente masa mediastinal. Posteriormente, tomografía de tórax, abdomen y pelvis revela tumoración de mediastino anterior de 14 × 13 cm en hemitórax derecho, desplazamiento de estructuras mediastinales hacia hemitórax izquierdo. Por edad y forma de presentación, se sospecha de linfoma (Figura 1A). La exploración física fue compatible con un síndrome pleuropulmonar de condensación; también se encontró adenopatía inguinal derecha de 5 mm, indurada e inmóvil. Se solicitaron laboratorios, destacando anemia grado 2, plaquetas 622,000/mm3, deshidrogenasa láctica 645 u/L, leucocitos 9,000/mm3, glucosa 92 g/dL, creatina 0.9 mg/dL, albúmina 3.9 g/dL, panel viral negativo, marcadores tumorales con resultado alfafetoproteína 3,080 ng/mL, antígeno carcinoembrionario 0.98 ng/mL, hormona gonadotropina coriónica humana 0.78 ng/mL. Ultrasonido testicular con quiste simple en cabeza de epidídimo izquierdo de 1 mm. Durante su hospitalización, se le realizó biopsia mediastinal por cirugía cardiotorácica en conjunto con resección de masa tumoral por toracotomía; durante el evento transquirúrgico presentó hemorragia masiva de 4,000 mililitros con estado de choque hipovolémico grado 4 que amerita transfusión masiva; se logra resección en fragmentos de masa mediastinal (Figura 1B). Hallazgos posquirúrgicos, masa mediastinal de 12 × 10 cm con fragmentos mayores de 1 cm en tórax por estar adheridos a hilio pulmonar y, representando mayor riesgo de sangrado, amerita colocación de sonda pleural derecha de 36 fr. Posterior a procedimiento de resección tumoral subóptima, remitió la tos, ortopnea, hemoptisis y alzas térmicas; al tener buena evolución clínica, se egresó al paciente (Figura 2). Los hallazgos encontrados en la biopsia resultaron compatibles con tumor germinal mixto tipo seno endodérmico 70%, seminoma 25%, carcinoma embrionario 5% con necrosis tumoral extensa de 50% de la pieza quirúrgica (Figura 3). La inmunohistoquímica resultó en SALL 4 positivo difuso, OCT3/4 negativo, AFP positivo focal, D2-40 positivo focal (1%), PLAP positivo focal (5%), CEA-CD30 negativo. Fue valorado por el servicio de oncología médica, que otorgó quimioterapia con bleomicina, etopósido, cisplatino en cuatro ciclos; y también seguimiento por los servicios de neumología, cirugía cardiotorácica, oncología médica donde, después de cinco meses de evolución posquirúrgica y con tomografía de tórax de control, el paciente permanece asintomático, con seguimiento por consulta externa multidisciplinar por riesgo de compresión de estructuras circundantes y nueva recaída.
Discusión
Los tumores germinales extragonadales suelen debutar con dolor torácico, tos, disnea, hemoptisis, fiebre. Nuestro paciente comenzó con esta sintomatología a la que se agregó pérdida de peso no intencionada; ameritó realizar radiografía de tórax donde se apreció una masa mediastinal, siendo ésta el estudio inicial como parte del abordaje en pacientes que debutan con tos de etiología desconocida y de utilidad para descartar diagnósticos diferenciales, principalmente infecciosos. Como parte del protocolo, se realizó tomografía de extensión a tórax, abdomen y pelvis, la cual confirmó masa mediastinal; se prosiguió a solicitar marcadores tumorales con fines predictivos, se encontró elevación de alfafetoproteína sugerente de tumor no seminomatoso; sospechando de origen gonadal primario, se realiza exploración física testicular y ecografía testicular para descartar presencia de tumor en este sitio; se encuentra un quiste en epidídimo en el paciente. Por la ausencia de tumoración en gónadas y los hallazgos previos tomográficos en mediastino, fue valorado por el área de Cirugía Cardiotorácica. Ameritó toma de biopsia mediastinal como parte del protocolo diagnóstico siendo el estándar de oro; el resultado evidenció un tumor germinal variedad mixta compuesta por seno endodérmico, seminoma, carcinoma embrionario. El siguiente paso fue la inmunohistoquímica con fines de confirmación; la inmunohistoquímica fue compatible con SALL 4, AFP, D2-40, PLAP positivo.
El tratamiento de primera línea en los tumores de células germinales no seminomatosos es la quimioterapia seguida de resección quirúrgica. Actualmente, el fármaco preferido para quimioterapia es cisplatino, que consigue remisión completa en 50% de los casos. El esquema de elección preferido incluye tres a cuatro ciclos de cisplatino a dosis de 20 mg/m2 combinado con etopósido 100 mg/m2/día por cinco días y bleomicina 15 mg/m2 semanal. Completados estos ciclos, se debe realizar monitoreo con estudio de gabinete; si persiste la masa residual, se indica resección quirúrgica de la misma; cuando es un tumor residual mayor de 1 cm se opta por resección subóptima y cuando existe ausencia de tumor residual macroscópico se habla de resección óptima. Durante la toma de biopsia, por el tamaño del tumor y la localización parahiliar, se realizó resección quirúrgica subóptima de masa tumoral con posterior quimioterapia a base de bleomicina, etopósido, cisplatino en cuatro ciclos, que se debe individualizar en cada paciente. Tras conseguir la remisión tumoral con quimioterapia, se debe dar seguimiento a todos los pacientes, ya que hasta 50% suelen recaer en los primeros dos años. Cuando se produce recaída o refractariedad al tratamiento, los esquemas de quimioterapia de rescate son paclitaxel 135 a 250 mg/m2/día cada tres semanas o ifosfamida 1,200 mg/m2/día por cinco días más cisplatino, vigilando las toxicidades hematológicas y nefrológicas. El paciente, actualmente, tras cinco meses de evolución, permanece asintomático después del tratamiento otorgado con seguimiento mensual, debido a riesgo de sobrecrecimiento de masa mediastinal y compresión de estructuras por el mal pronóstico al ser un tumor germinal de tres extirpes celulares.4-10
Conclusiones
Los tumores germinales extragonadales debutan clínicamente al estar avanzada la enfermedad por comprimir estructuras vecinas, por lo que un diagnóstico histopatológico temprano es esencial. Durante la toma de biopsia al paciente, también se le tuvo que realizar, en el mismo tiempo quirúrgico, la resección subóptima tumoral por el gran tamaño y estar parahiliar, existiendo riesgo de sangrado. Al estar estos tumores vascularizados, en el paciente se registró un drenaje de 4,000 mililitros, por lo que se le tuvo que transfundir y colocar sonda endopleural; posteriormente cursó con buena evolución. El resultado histopatológico resultó en tumoración mediastinal variedad germinal mixta no descrita antes en la literatura. El tratamiento debe ser individualizado, siendo indispensable enfocarlo en el subtipo de tumor germinal; la quimioterapia preoperatoria vuelve fibróticos los tejidos mediastínicos y empeora la planeación quirúrgica, por lo que en este paciente la resección tumoral seguida de quimioterapia tuvo mayor beneficio.
AFILIACIONES
1Instituto Mexicano del Seguro Social, Unidad Médica de Alta Especialidad Hospital de Especialidades No. 2 Luis Donaldo Colosio Murrieta. Centro Médico Nacional del Noroeste. Ciudad Obregón, Sonora, México.Conflicto de intereses: los autores declaran no tener conflicto de intereses.
REFERENCIAS