Coccidioidomicosis diseminada con presentación atípica en paciente inmunocompetente en Chiapas: caso clínico
Jiménez-Villanueva, Emmanuel Gabriel1; Martínez-Pérez, Carlos Jared1; Santiago-Martínez, Luis Alberto1; Escobar-Díaz, Pedro Santiago1
Jiménez-Villanueva, Emmanuel Gabriel1; Martínez-Pérez, Carlos Jared1; Santiago-Martínez, Luis Alberto1; Escobar-Díaz, Pedro Santiago1
RESUMEN
La coccidioidomicosis es una enfermedad infecciosa infradiagnosticada a nivel mundial, causada por hongos de la familia Coccidioides spp; habitualmente se encuentran en suelos alcalinos y arenosos de regiones cálidas y áridas del hemisferio occidental, como en el norte de México; sin embargo, debido al desplazamiento migratorio se han documentado casos de coccidioidomicosis en regiones no endémicas. El principal sitio de afección son los pulmones; el derrame pleural es poco frecuente. La coccidioidomicosis diseminada afecta al 1% de los pacientes infectados y está asociada con resultados más graves. Se presenta el caso de un masculino de 28 años originario de Chiapas con historia de haber radicado en Baja California, sin inmunocompromiso, referido a nuestra unidad con coccidioidomicosis diseminada de evolución atípica asociada, caracterizada por consolidaciones pulmonares, adenomegalias, abscesos subcutáneos y derrame pleural.PALABRAS CLAVE
coccidioidomicosis diseminada, coccidioidomicosis en inmunocompetentes, coccidioidomicosis en regiones no prevalentes.Introducción
La coccidioidomicosis (CM) es una infección causada por hongos dimórficos de la familia Coccidioides spp, descrita por primera vez por Alejandro Posadas en 1892. Habitualmente se encuentran en suelos alcalinos y arenosos de regiones cálidas y áridas del hemisferio occidental; prosperan en zonas con veranos muy calientes e inviernos sin descensos de temperatura severos y, además, con precipitaciones pluviales anuales bajas.1 Se considera una enfermedad infradiagnosticada en regiones desérticas del Nuevo Mundo debido a sus síntomas inespecíficos, hallazgos clínicos semejantes con otras enfermedades infecciosas y no infecciosas, falta de pruebas de laboratorio confiables y asequibles que permitan un diagnóstico oportuno y, además, existencia limitada de información epidemiológica actualizada en Latinoamérica.2
A nivel mundial se han establecidos zonas endémicas en México, Centroamérica (Guatemala, Honduras) y Sudamérica (Argentina, Bolivia, Brasil, Colombia, Paraguay y Venezuela), donde estudios genéticos han demostrado que la especie predominante es C. posadasii.3 En Estados Unidos, para el año 2022, de acuerdo a los Centros para el Control y la Prevención de Enfermedades (CDC, por sus siglas en inglés), se registraron en total 17,612 casos; anualmente se notifican entre 10,000 y 20,000 casos de coccidioidomicosis, principalmente en Arizona y California, con un promedio anual de 200 muertes asociadas a coccidioidomicosis desde 1999 a 2021.4
La coccidioidomicosis es una de las micosis sistémicas más prevalentes en México; hasta 1994, anualmente se reportaban aproximadamente 1,500 casos, donde los estados de Nuevo León, Tamaulipas, Chihuahua, Baja California y Sonora fueron los que reportaban mayor número de casos. A partir de 1995, la coccidioidomicosis fue eliminada del registro epidemiológico nacional para enfermedades reportables, por lo que la carga clínica actual de la enfermedad en México es desconocida.5
El 60% de las infecciones son asintomáticas, el 40% presentan manifestaciones clínicas similares a resfriado común o neumonía, y únicamente el 1% desarrolla enfermedad diseminada, pudiendo afectar cualquier área del cuerpo. La coccidioidomicosis diseminada puede ser en un solo sitio o en múltiples sitios, se han descrito casos de osteomielitis en huesos pélvicos, sinovitis en articulación de rodilla, linfadenitis mediastinal, peritonitis y meningitis, infecciones de tejidos blandos, infección intramuscular y abscesos subcutáneos.6 La etnia (ascendencia africana, asiática e hispana), los estados de inmunocompromiso (cáncer, trasplante de órganos, terapia con corticosteroides, quimioterapia, infección por VIH) y algunas alteraciones genéticas son factores de riesgo para coccidioidomicosis diseminada.7
Presentación del caso
Paciente masculino de 28 años, originario de Frontera Comalapa, Chiapas; campesino, sin enfermedades crónico-degenerativas. Historial de residencia en Tijuana, Baja California, durante un año por motivos laborales, donde trabajaba en fábrica de productos electrónicos.
Inicia padecimiento actual cuatro meses previos a hospitalización, con alzas térmicas, precedidas de escalofríos y seguidas de diaforesis, sin predominio de horario; tos seca ocasional, disnea MMRC 3, náuseas y pérdida no intencionada de aproximadamente 15 kg. Un mes después refiere crecimiento de ganglio supraclavicular izquierdo, además, aumento de volumen en región costal derecha y dorsal izquierda. Protocolo de estudio externo con radiografía de tórax donde se identifica derrame pleural izquierdo, consolidación basal izquierda y nódulo cavitado en misma región, por lo que se realiza toracocentesis izquierda con extracción de 1,000 mL de líquido y broncoscopia con toma de biopsia bronquial que reporta inflamación crónica inespecífica. No se logra definición diagnóstica por lo que inician múltiples esquemas antimicrobianos a base de clindamicina, cefalosporinas y aminopenicilinas, sin mostrar mejoría clínica. Deciden iniciar tratamiento para tuberculosis en fase intensiva con cuatro fármacos, nuevamente sin evolución clínica favorable, por lo que realizan referencia a nuestra institución, en donde decidimos suspender antibióticos y tratamiento de tuberculosis.
Exámenes de laboratorio/gabinete externos. Reporte de biopsia de mucosa bronquial mediante fibrobroncoscopia: mucosa respiratoria con inflamación crónica inespecífica; citopatológico de lavado broncoalveolar (LBA) con reacción inflamatoria moderada, de características neutrofílicas y linfocíticas, además de células mesoteliales reactivas. Cultivo de LBA: positivo para Klebsiella spp, negativo para Mycobacterium tuberculosis; citopatológico de líquido pleural con reacción inflamatoria moderada, neutrofílico y linfocítico, células mesoteliales reactivas; citoquímico de líquido pleural: glucosa 70 mg/dL, deshidrogenasa láctica (DHL) 158 U/L, proteínas 6.7 g/dL, leucocitos 15-20 cel/mm3, linfocitos 95%, tinción de Gram negativa, determinación de adenosina desaminasa (ADA) 28 U/L. Prueba rápida para VIH: no reactivo.
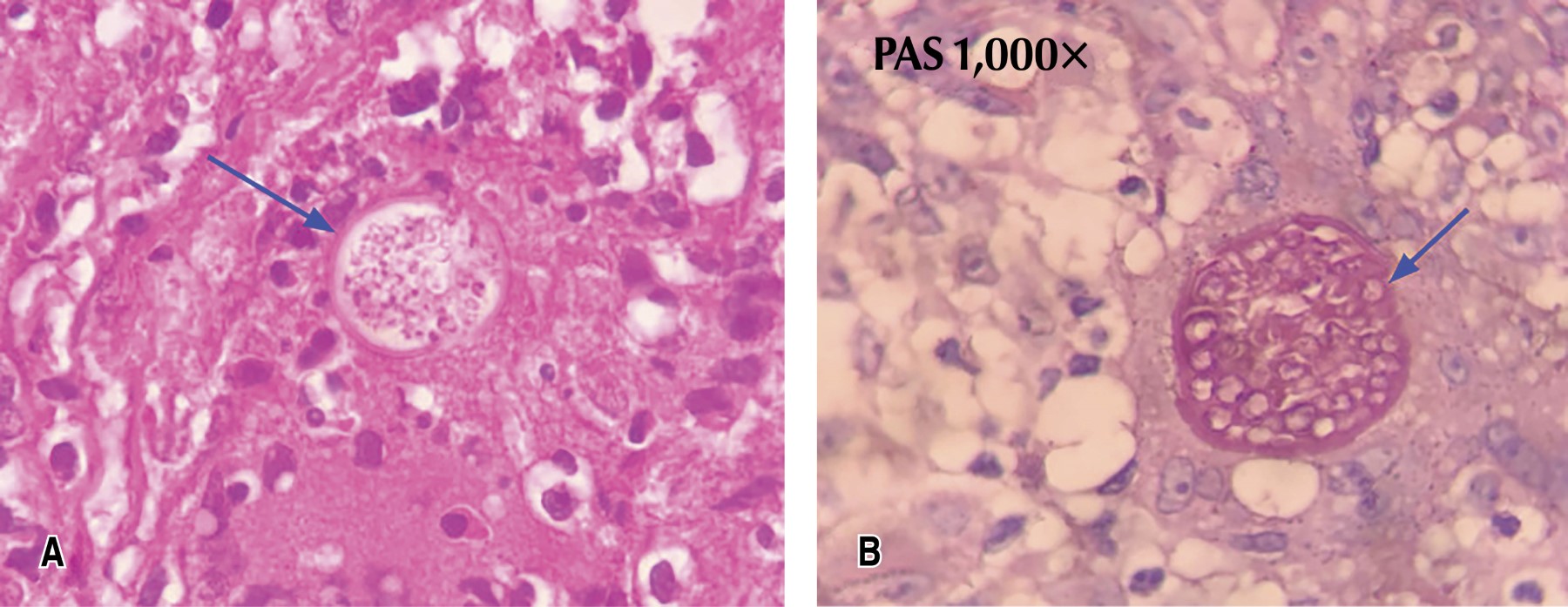
Exámenes de laboratorio institucionales. Hemoglobina 9.9 g/dL, hematocrito 32, volumen corpuscular medio (VCM) 80 fL, hemoglobina corpuscular media (HCM): 31.4 pg, leucocitos 13,190/mm3, segmentados 85%, plaquetas 1'158,000/mm3, procalcitonina < 0.5 ng/mL. Cultivo de expectoración: negativo. Tinción de Gram y tinción azul de algodón de líquido de drenaje de absceso subcutáneo torácico izquierdo: identificación de hifas septadas macrosifonadas, ramificadas sin aparentes formas de reproducción. Examen directo con hidróxido de potasio (KOH) de drenaje de absceso subcutáneo torácico izquierdo se identifican esférulas de doble membrana sugerente de Coccidioides spp. Cultivo de drenaje de absceso subcutáneo torácico izquierdo: desarrollo de Coccidioides spp; determinación de anticuerpos anticoccidioides séricos IgG e IgM: ambas positivas. Radiografía de tórax portátil: derrame pleural izquierdo. Tomografía axial computarizada simple de tórax: derrame pleural izquierdo, conglomerados ganglionares cervicales y mediastinales, así como áreas de consolidaciones posterior y lateral-basal izquierda (Figura 1). Biopsia de ganglio cervical izquierdo para análisis histopatológico con identificación de células gigantes y esférulas con endosporas en su interior. (Figura 2).
Por lo anterior, se decide iniciar tratamiento con anfotericina B desoxicolato en fase intensiva; con mejoría clínica y sin eventualidades, determinando así el egreso hospitalario. Sin embargo, dos semanas después, el paciente acude por presentar nuevamente alzas térmicas, además de aumento de volumen a nivel proximal de antebrazo derecho acompañado de aumento de temperatura local y eritema leve. Se decide reingresarlo e iniciar tratamiento con anfotericina B liposomal a dosis de 4 mg/kg cada 24 h. Paciente con mejoría clínica, sin alzas térmicas y con disminución de volumen en lesión, por lo que se decide egreso hospitalario, con tratamiento de mantenimiento con itraconazol para seguimiento en el área de la Consulta Externa. Un año después del tratamiento, el reporte de anticuerpos anticoccidioides IgM es negativo, por lo que se decide suspensión de tratamiento y alta definitiva del servicio.
Discusión
Coccidioides spp. son hongos que habitan de forma común suelos áridos de los estados fronterizos del sur de Estados Unidos y norte de México, donde las condiciones del suelo y clima favorecen la supervivencia de dicho microorganismo. La incidencia de coccidioidomicosis ha aumentado significativamente en las últimas dos décadas en regiones no endémicas, la mayoría de estos casos son importados por pacientes después de viajar o exponerse en zonas endémicas.8 Los viajeros y personas en situación de movilidad que visitan o transitan hacia regiones endémicas determina un riesgo elevado de exposición a diversos microorganismos que no son prevalentes en sus localidades de origen. Nuestro paciente contaba con el historial de residencia durante un año en Tijuana, Baja California, debido a la búsqueda de mejores condiciones laborales, lo que constituye su exposición a una región de alto riesgo de contagio por Coccidioides spp.
La coccidioidomicosis en su forma diseminada es poco frecuente; sin embargo, se presenta con regularidad en sujetos en estado de inmunocompromiso.7 El derrame pleural en pacientes con coccidioidomicosis se detecta en aproximadamente 5 a 15% de los casos; es una manifestación frecuente en las formas pulmonares de la infección y muy rara vez se observa en enfermos con coccidioidomicosis diseminada.9 Es posible que los pacientes inmunocompetentes sean capaces de "localizar" la infección en los pulmones al montar una respuesta inflamatoria vigorosa, lo que se traduce en un aumento de la permeabilidad vascular de la pleura debido a citoquinas proinflamatorias, lo que provoca la formación de derrame pleural. Los pacientes con una forma diseminada de la enfermedad son menos propensos a generar una intensa respuesta inflamatoria en los pulmones, lo cual resulta en menos inflamación pleural y formación de derrame pleural.10 Consideramos que en el caso de nuestro paciente –a pesar de no haberse identificado algún factor de inmunocompromiso–, al no estar expuesto previamente a esporas del hongo Coccidioides spp., no poseía una memoria inmunológica que hubiera podido limitar la diseminación del proceso infeccioso.
El cultivo de muestras continúa siendo el estándar de oro para el diagnóstico de coccidioidomicosis, seguido del análisis histopatológico y citológico; sin embargo, además de ser directamente dependiente de la calidad de la muestra, dicho procedimiento requiere un nivel de bioseguridad del laboratorio categoría 3,3 lo que condiciona una limitada disponibilidad en hospitales públicos de México. Nuestro hospital carece de laboratorio de microbiología con dicho requerimiento, por lo que el cultivo se realizó de manera subrogada. La identificación de hifas septadas macrosifonadas en pacientes con coccidioidomicosis es un hallazgo microbiológico poco común; no obstante, existen reportes aislados sobre dicho hallazgo en infecciones diseminada asociadas a las esférulas con endosporas en su interior.
Conclusiones
La incidencia de coccidioidomicosis ha aumentado en épocas recientes en lugares de baja prevalencia en relación a un fenómeno de movilidad poblacional a nivel global. La coccidioidomicosis es un reto diagnóstico en pacientes inmunocompetentes por presentación atípica en su forma diseminada.
AFILIACIONES
1Hospital Regional de Alta Especialidad Ciudad Salud. Tapachula, Chiapas, México.Agradecimientos: los autores extienden su gratitud hacia la Dra. Ana Karen López Villatoro por su colaboración para la descripción de las imágenes radiológicas; y también al Dr. Ángel Medardo Molina Cruz por su colaboración en la descripción histopatológica de la biopsia ganglionar.
Conflicto de intereses: los autores declaran no tener ningún conflicto de intereses.
REFERENCIAS