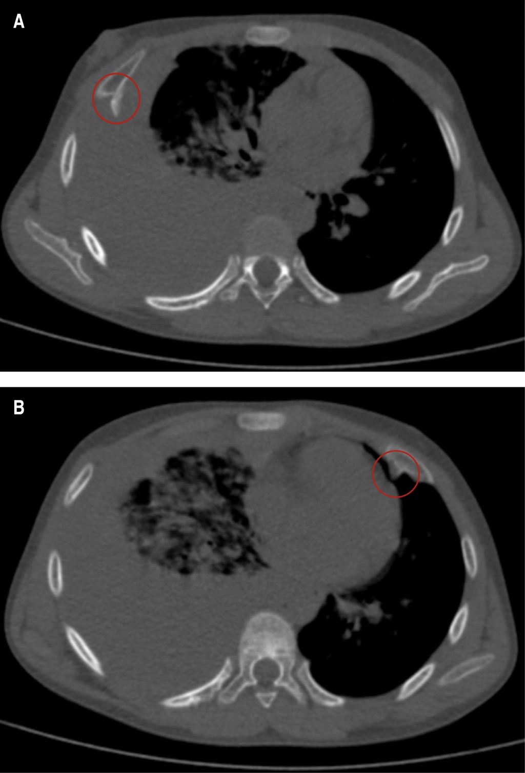
Exostosis costal como causa infrecuente de hemotórax. A propósito de un caso
Soto-Ramos, Mario1,4; Hernández-Saldaña, Raúl1,3; Hinojos-Gallardo, Luis Carlos1,2;,5 Treviño-Zúñiga, Marcela1,2; Guerrero-Lucio, Noé1,2; Rascón-Díaz, Luis Roberto4; Ramos-Martínez, Ernesto6; García-Sáenz, Ruth Yazmín4,7; Ríos-Contreras, Carlos Alberto7; Salazar-Ortíz, Cristal Ariadne1