Caracterización de lesiones endobronquiales malignas
Rabadan-Armenta, Saul Javier1; García-Torres, María Elena1; Hernández-Hernández, Mario Abel1
Rabadan-Armenta, Saul Javier1; García-Torres, María Elena1; Hernández-Hernández, Mario Abel1
RESUMEN
PALABRAS CLAVE
broncoscopia, carcinoma de células escamosas de pulmón, adenocarcinoma de pulmón, tumor endobronquial, hallazgos broncoscópicos.Introducción
La broncoscopia es una técnica de visualización de las vías aéreas superiores e inferiores que se utiliza con fines diagnósticos o terapéuticos. Esta técnica es útil para diagnosticar procesos inflamatorios, infecciosos, tumorales y hemorrágicos.1
Las lesiones neoplásicas más comunes en los bronquios son secundarias al carcinoma broncogénico, representando sólo 1% de los tumores extratorácicos.2 La incidencia varía según la literatura y depende del estado evolutivo de la enfermedad primaria, del grupo de pacientes estudiado y del programa de seguimiento.3 La prevalencia reportada de metástasis endobronquiales visibles en los bronquios principales o lobares es del 2%.4
Para el estudio clínico de estos pacientes, comúnmente se inician métodos diagnósticos mínimamente invasivos como la radiografía de tórax y la tomografía computarizada (TAC) de tórax. Estos métodos pueden proporcionar datos indirectos o sugestivos de compromiso de la vía aérea. La broncoscopia es el estudio de elección para la identificación y evaluación de lesiones en la vía aérea central. Según los hallazgos radiológicos se determina qué pacientes son candidatos a fibrobroncoscopia para la toma de muestras de tejido y su posterior análisis histopatológico.
La broncoscopia flexible es un procedimiento invasivo que permite la visualización directa de la vía aérea y la obtención de muestras mediante lavado broncoalveolar, cepillado bronquial o biopsia. En el Hospital General de México, Ciudad de México, la broncoscopia flexible juega un papel crucial en el diagnóstico de tumores con sospecha de malignidad en la vía aérea.
El objetivo principal de este estudio es la caracterización de las lesiones endobronquiales sospechosas de malignidad y su correlación con los hallazgos histopatológicos.
Material y métodos
Análisis retrospectivo de los casos de pacientes con sospecha de lesión maligna pulmonar o de cáncer pulmonar, llevados al área de Broncoscopia del Hospital General de México de 2018 a 2023. Se revisaron datos demográficos, estudios de imagen, imágenes broncoscópicas y resultados de patología.
La sospecha diagnóstica de cáncer pulmonar y metástasis pulmonar se estableció con base en la anamnesis, la evaluación clínica y los hallazgos en radiografía de tórax y tomografía. Como método de obtención de la muestra, se utilizó la broncoscopia flexible de primera instancia, así como la biopsia quirúrgica en los pacientes en quienes no se obtuvo diagnóstico mediante la biopsia tomada por broncoscopio flexible y/o no se evidenció una lesión para realizar la toma de muestra por broncoscopia.
El diagnóstico histológico se confirmó por biopsia de la lesión identificada, además de cepillado y lavado broncoalveolar. Se definió como metástasis endobronquial a las lesiones únicas o múltiples visibles a través de broncoscopia, con compromiso de tráquea, bronquios fuentes o segmentarios, y con histología igual a la malignidad extratorácica primaria.
Se correlacionaron los principales hallazgos broncoscópicos y el número de bronquios afectados con la lesión maligna confirmada por histopatología y el número de metástasis del paciente. Se consideraron como hallazgos sospechosos de malignidad la presencia de infiltración de mucosa, tumor endobronquial, hipervascularización, mucosa edematosa irregular e hipervascularizada. También se evaluaron otras variables como la compresión extrínseca.
Análisis estadístico: se realizó utilizando Microsoft Excel y el IBM Statistical Package for the Social Sciences (SPSS), versión 20.0.
Características del equipo y procedimientos utilizados: se utilizó el videobroncoscopio EB-1970K Pentax, alberga un canal de trabajo de 2.8 mm. Se emplearon pinzas broncoscopia Cook tipo cocodrilo y un cepillo protegido para citología posterior a biopsia. En total, se realizaron de 3 a 5 biopsias durante las broncoscopias que se llevaron a cabo con iluminación de luz de banda estrecha (LBE), o NBI (Narrow Band Imaging).
Resultados
CaracterÍsticas demogrÁficas
Se incluyeron 122 pacientes formados por 52 mujeres (42.6%) y 70 hombres (57.4%), la edad media de edad fue 62 años con valores que oscilaron entre 46 y 82 años.
Estudio de imagen
La radiografía de tórax fue el método de diagnóstico por imagen utilizado inicialmente, las características radiológicas encontradas fueron opacidad parenquimatosa única en 43 (35.2%) pacientes; opacidad parenquimatosa múltiple en 21 (17.2%); cavidad pulmonar en nueve (7.4%); agrandamiento de hilio pulmonar en 17 (13.9%); atelectasia en 12 (9.8%); derrame pleural unilateral en seis (4.9%); derrame pleural bilateral en cinco (4.1%); no se identificaron alteraciones en la radiografía de tórax en nueve (7.4%) casos.
Se realizó tomografía de tórax con contraste a 48 pacientes antes del estudio con los siguientes hallazgos: 32 (66.7%) pacientes con lesión tumoral; seis (12.5%) pacientes neumonía obstructiva;18 (37.5%) con atelectasia; los tumores parenquimatosos se localizaron en el pulmón derecho en 28 (58.3%) pacientes y pulmón izquierdo 20 en (41.7%). Se encontró linfadenopatía hiliar y pre bronquial en 33 enfermos (68.8%), tres con derrame pleural (6.3%).
Estudio broncoscÓpico
Se realizó broncoscopia a los 122 pacientes debido a hallazgos encontrados en radiografía y/o tomografía computarizada de tórax. De éstos, 100 pacientes se sometieron a toma de biopsia, cepillado y lavado broncoalveolar para estudio citológico.
Los aspectos broncoscópicos de las lesiones observadas fueron los siguientes (Tabla 1):
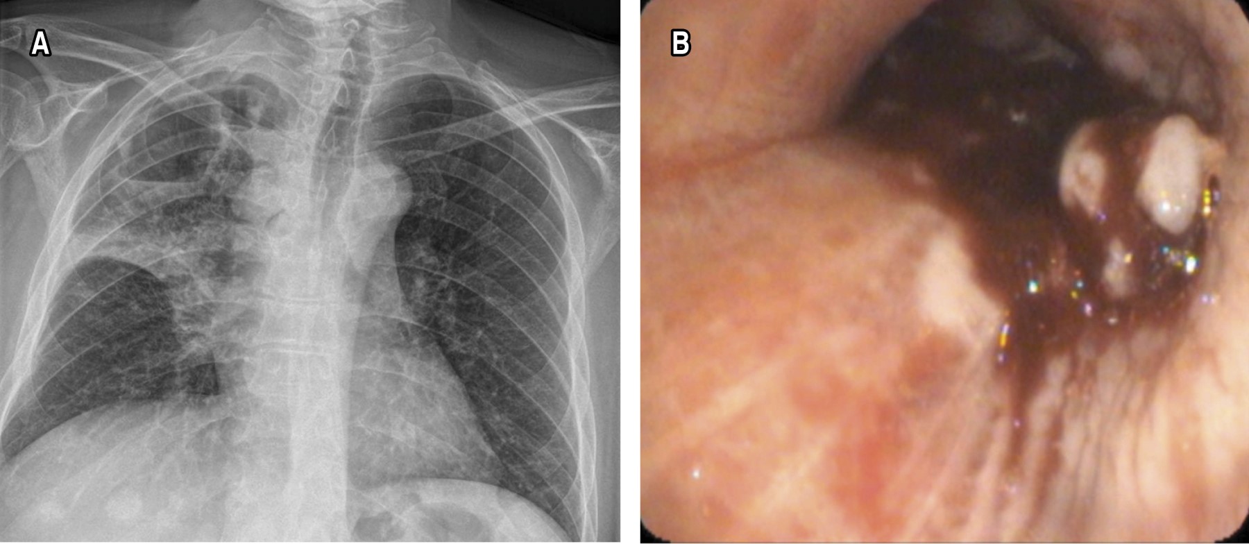
Tumor endobronquial se identificaron 64, la localización más frecuente fue en el árbol bronquial derecho, con 39 (60.9%) pacientes. De éstos, 19 (29.6%) se encontraron entre los segmentos 6 a 10 derecho, 12 (18.7%) en el lóbulo medio y ocho (12.5%) en los segmentos 1 a 3. En el árbol bronquial izquierdo, se observaron 25 casos (39%). De éstos, seis (9.3%) se encontraron entre los segmentos 6 a 10 izquierdo, 10 (15.6%) en la língula y nueve (14%) en los segmentos 1 a 3 (Figuras 1 y 2).
Lesiones infiltrantes de la mucosa con aumento de vascularización se observaron en 21 pacientes.
Compresión extrínseca de la pared bronquial se identificó en 15 enfermos.
Aspecto broncoscópicamente normal de la mucosa del árbol bronquial se encontró en 14 sujetos.
Mucosa pálida y atrófica se registró en 34 pacientes.
Mucosa eritematosa y edematosa se identificó en 22 casos.
Secreciones bronquiales abundantes se reportaron en 15 enfermos, mientras que las moderadas se observaron en 22.
Se encontraron combinaciones de estas lesiones especialmente en las características de la mucosa.
Se tomaron biopsias, así como cepillado y lavado citológico de las siguientes lesiones:
De los 64 tumores endobronquiales se realizaron biopsias, así como cepillado y lavado bronquioloalveolar.
El resultado histopatológico de la biopsia fue positivo en el 98.4% de los casos (63 pacientes), el cepillado arrojó un diagnóstico en el 7.8% (cinco pacientes) y el lavado bronquioloalveolar sólo reportó células compatibles con malignidad en el 1.6% (un paciente) (Tabla 2).
En cuanto a las lesiones infiltrantes de la mucosa con aumento de vascularización, se observaron en 21 pacientes y se tomaron biopsias, así como cepillado y lavado bronquioloalveolar.
El análisis histopatológico de la biopsia fue positivo en 81% (17 pacientes), el cepillado fue diagnóstico en 4.8% (un caso) y el lavado bronquioloalveolar no informó células compatibles con malignidad en ningún paciente.
Por último, en cuanto a la compresión extrínseca de la pared bronquial, se identificó en 15 pacientes y se tomaron biopsias, así como cepillado y lavado bronquioloalveolar.
La biopsia dio resultado positivo en el 13.3% (dos pacientes), el cepillado no fue diagnóstico en ningún paciente y el lavado bronquioloalveolar no informó células compatibles con malignidad en ningún paciente.
HistopatologÍa
Los resultados obtenidos de las muestras tomadas por broncoscopia fueron los siguientes:
De las 63 muestras de tumores endobronquiales, 24 (38.1%) correspondieron a carcinoma de células escamosas, 19 (30.2%) a adenocarcinoma, ocho (12.7%) a cáncer pulmonar de células pequeñas, cinco (7.9%) a carcinoma ductal infiltrante, cuatro (6.3%) a tumor germinal y tres (4.8%) a carcinoma renal de células claras.
En cuanto a las lesiones infiltrantes de la mucosa con aumento de vascularización, de los 17 pacientes, 13 (76.5%) corresponden a adenocarcinoma y seis (35.3%) a carcinoma de células escamosas. Dos pacientes con compresión extrínseca presentaron adenocarcinoma pulmonar.
En total, mediante histopatología de las muestras tomadas por broncoscopia, se diagnosticaron 30 (23.8%) caso con carcinoma de células escamosas, 34 (27.0%) con adenocarcinoma pulmonar, ocho (6.3%) con cáncer pulmonar de células pequeñas, cinco (4.0%) con carcinoma ductal infiltrante, cuatro (3.2%) con tumor germinal y tres (2.4%) con carcinoma renal de células claras.
Discusión
El cáncer de pulmón sigue siendo una de las principales causas de muerte a nivel mundial, con altas tasas de mortalidad debido a que la mayoría de los casos se diagnostican en etapas avanzadas. Al igual que otras neoplasias malignas, el cáncer de pulmón puede presentar metástasis endobronquial, complicando aún más su diagnóstico y tratamiento. En este contexto, las radiografías de tórax y las tomografías computarizadas son herramientas clave para la identificación inicial de las lesiones pulmonares. En nuestro estudio, las radiografías de tórax revelaron características patológicas en la mayoría de los pacientes, con alteraciones como opacidades parenquimatosas, agrandamiento hiliar y derrame pleural, lo que coincidió con lo reportado en la literatura, donde la radiografía sigue siendo útil en la detección inicial de patologías neoplásicas.5
La tomografía computarizada con contraste también fue crucial en la evaluación de lesiones pulmonares sospechosas, proporcionando detalles anatómicos más precisos. En 66.7% de los pacientes se identificaron lesiones tumorales y en 68.8% se observaron linfadenopatías hiliares y prebronquiales, lo que destaca la importancia de esta técnica en la evaluación previa a procedimientos más invasivos como la broncoscopia.5
En cuanto a las neoplasias endobronquiales, a pesar de su rareza, representan un reto diagnóstico y terapéutico considerable. En nuestro estudio se documentaron diferentes subtipos histológicos, con predominancia del carcinoma de células escamosas (38.1%) y el adenocarcinoma (30.2%). Estos hallazgos difieren de lo reportado en la literatura, donde los tumores carcinoides y el carcinoma mucoepidermoide suelen ser los más comunes.1,2 Además, identificamos tumores secundarios raros, como el carcinoma ductal infiltrante y el carcinoma renal de células claras, lo que resalta la complejidad de las metástasis endobronquiales, cuya prevalencia es baja pero clínicamente significativa.3,4
Es relevante mencionar que las metástasis endobronquiales suelen ser un signo tardío de la enfermedad, lo que coincide con lo encontrado en este estudio, ya que la broncoscopia permitió el diagnóstico del tumor primario en todos los casos, pero ya en una fase avanzada. Este hallazgo subraya la necesidad de herramientas más eficaces para la detección temprana de estas lesiones.6
En cuanto a las herramientas diagnósticas disponibles hoy en día, es imprescindible destacar la importancia de las tecnologías avanzadas en broncoscopia, como el Narrow Band Imaging (NBI), la autofluorescencia bronquial (BAF) y la broncoscopia de alta magnificación. Estas modalidades permiten una visualización detallada de las lesiones mucosas y vasculares, facilitando la detección de lesiones sospechosas de alto grado. El NBI, por ejemplo, utiliza luz azul y verde para resaltar la vascularización y estructura de la mucosa, mejorando la identificación de áreas de displasia y neoplasia en etapas tempranas.7,8
Asimismo, tecnologías más recientes, como la tomografía de coherencia óptica (OCT) y la endomicroscopia con láser confocal (CLE), están emergiendo como herramientas prometedoras en la evaluación real-time de las lesiones endobronquiales. La OCT, que proporciona imágenes casi histológicas, ha demostrado ser útil para la caracterización de tumores y la evaluación de la remodelación de las vías respiratorias,9 mientras que la CLE permite obtener imágenes in vivo del microentorno tumoral con gran detalle, lo que podría mejorar el diagnóstico precoz de cánceres y la evaluación de la respuesta al tratamiento.10
En nuestro estudio, la broncoscopia con biopsia fue el método diagnóstico más efectivo, con un rendimiento positivo en el 98.4% de los casos, lo que concuerda con la literatura, donde la biopsia broncoscópica se considera el estándar de oro para la evaluación de lesiones intraluminales.11 Sin embargo, es importante considerar la baja sensibilidad de otras técnicas, como el cepillado bronquial y el lavado bronquioloalveolar, lo que resalta la necesidad de una combinación de métodos diagnósticos para optimizar los resultados.12
En un estudio prospectivo reciente, el cepillado realizado antes de la biopsia con fórceps endobronquial aumentó significativamente el rendimiento diagnóstico en comparación con el cepillado después de la biopsia. El rendimiento diagnóstico global del cepillado para detectar malignidad en lesiones endobronquiales visibles es de alrededor de 60 a 90%.13 El rendimiento diagnóstico de la biopsia endobronquial para tumores endobronquiales visibles es de al menos 70%.14 El lavado bronquioalveolar (LBA), utilizado habitualmente como complemento de otras modalidades de muestreo broncoscópico para el diagnóstico de neoplasias malignas, tiene un rendimiento diagnóstico inferior a 50% en la mayoría de los estudios, pero este porcentaje es superior a 80% en la carcinomatosis linfangítica.15
Finalmente, aunque no existen guías bien establecidas para el manejo de los tumores endobronquiales, el tratamiento debe ser individualizado, considerando la localización del tumor primario, las características del paciente y el estado general de la enfermedad. Dado que en muchos casos estas lesiones representan un signo tardío de metástasis sistémica, es esencial un enfoque multidisciplinario que integre los hallazgos broncoscópicos con otras modalidades de imagen y estudios histológicos para guiar las decisiones terapéuticas.11
En cuanto a las complicaciones asociadas a la biopsia transbronquial (TBLB), las más comunes incluyen neumotórax y sangrado.16 La tasa de neumotórax varía entre el 1 y 5% en la población general, pero es mayor en presencia de factores de riesgo como enfisema circundante o el uso de ventilación mecánica.17 Sin embargo, en nuestro estudio no se documentó ningún caso de neumotórax, lo que podría atribuirse a la cuidadosa selección de pacientes y a la experiencia del equipo médico.
Conclusiones
Las lesiones endobronquiales en este estudio siguen siendo una afección diagnosticada tardíamente. La broncoscopia aún es el método invasivo más importante de diagnóstico. Una de las ventajas importantes es que permite la visualización de lesiones, además de la toma de biopsia. Entre las lesiones más comunes se encuentran los tumores endobronquiales y la infiltración de la mucosa. El adenocarcinoma es la forma más frecuente encontrada en nuestros pacientes. La broncoscopia ha permitido dar un diagnóstico histopatológico correcto sin las complicaciones de las intervenciones quirúrgicas, menores complicaciones graves postquirúrgicas y mejor recuperación.
AFILIACIONES
1Hospital General de México, Ciudad de México, México.Conflicto de intereses: los autores declaran no tener conflicto de intereses.
REFERENCIAS
Wahidi MM, Govert JA, Goudar RK, Gould MK, McCrory DC; American College of Chest Physicians. Evidence for the treatment of patients with pulmonary nodules: when is it lung cancer? ACCP evidence-based clinical practice guidelines (2nd edition). Chest. 2007;132(3 Suppl):94S-107S. Available in: https://doi.org/10.1378/chest.07-1352
Tabla 1: Hallazgos broncoscópicos y correlación con métodos diagnósticos (N = 122). |
|||
Aspecto broncoscópico |
Biopsia n (%) |
Cepillado n (%) |
Lavado bronquioloalveolar n (%) |
Tumor endobronquial (n = 64) |
63 (98.4) |
5 (7.8) |
1 (1.6) |
Lesiones infiltrantes de la mucosa con aumento de vascularización (n = 21) |
17 (81) |
1 (4.8) |
0 (0) |
Compresión extrínseca de la pared bronquial (n = 15) |
2 (13.3) |
0 (0) |
0 (0) |
Tabla 2: Hallazgos en radiografía de tórax y tomografía computarizada. |
||
Hallazgo radiológico |
Radiografía de tórax N = 122 n (%) |
Tomografía de tórax N = 48 n (%) |
Opacidad parenquimatosa única |
43 (35.2) |
— |
Opacidad parenquimatosa múltiple |
21 (17.2) |
— |
Cavidad pulmonar |
9 (7.4) |
— |
Agrandamiento de hilio pulmonar |
17 (13.9) |
— |
Atelectasia |
12 (9.8) |
18 (37.5) |
Derrame pleural unilateral |
6 (4.9) |
3 (6.3) |
Derrame pleural bilateral |
5 (4.1) |
— |
Sin alteraciones |
9 (7.4) |
— |
Lesión tumoral |
— |
32 (66.7) |
Neumonía obstructiva |
— |
6 (12.5) |
Linfadenopatía hiliar y prebronquial |
— |
33 (68.8) |